目黒理事長に聞く
仙台厚生病院の方針
“次世代型先進病院”をコンセプトに先を見据えた体制を整備
当院は2024年、青葉区堤通雨宮町に新築移転し、次世代型先進病院をコンセプトに新たな診療体制をスタートしました。敷地は従来の約3倍、床面積も約1.5倍に拡張し、全ての医療機能を集約。全室個室化によりプライバシーにも配慮し、入院患者さんと外来・お見舞いの方の動線を分けることで、院内感染リスクの低減にもつなげています。さらに将来の医療技術の進化に対応できるよう、増築用の土地も確保しています。20年・30年先には、現在では想像もし得ない先端技術が登場しているかもしれません。土地が確保できていれば、新たな医療設備導入の必要性が高まったときにすぐに対応することができます。先の世代までの医療を見越して備える――。それが当院の目指す“次世代型先進病院”です。杜の都の病院として、ぬくもりのある空間で安心していただけるように
移転に伴い、外観・内観についてもこだわって設計を進めました。病院というのはともすれば暗いイメージを与えがちです。ましてや病を抱えているときなのですから、閉塞感がある空間では、つらい気持ちを助長してしまうだけだと考えました。そこで、新しい病院はホテルのようなリラックスできる空間を目指して、アースカラーを基調とし、まさに杜の都らしい雰囲気になるよう工夫を凝らしました。屋上庭園では緑にも接していただけます。なお、病院自体の設計は私と設計会社が行いましたが、個々のスペースは職員の意見も取り入れています。私にとってはもちろん、働く職員たちも愛着を感じてくれている空間です。「選択と集中」「分担と連携」を掲げ、改革を推進する
当院は、ここまで「選択と集中」「分担と連携」をキーワードに改革を進めてまいりました。総合病院として充実した医療を提供することも重要なことですが、全ての領域において充実しているといえるだけの医療体制を整えるには、当院の施設規模では難しいものがあります。そこで当院では、心臓血管・呼吸器・消化器の3つの領域に医療資源を集中させ、この3領域に特化した医療体制を目指すことを決意しました。それ以外の診療科については、その領域を得意とする医療施設にお任せし、反対に先述した3領域については当院にお任せいただくことで、医療圏を越え、広い範囲を視野に入れた強固な連携体制が構築できています。究極の患者優先主義とは――職員の健康を守り、好循環を生み出す
私は“職員優先主義”をはっきり掲げて今日まで邁進してまいりました。文字どおり、患者さんにもまして職員を優先するという意味です。この言葉だけを聞くと驚かせてしまうかもしれません。では、職員が元気でなくて誰が患者さんを守るのでしょうか。余裕のない現場から、質の高い医療は生まれません。この考えを根底に、我々管理者は職員の健康をまず第一に守ります。昨今では医師の働き方改革が施行されましたが、当院では医師の超過勤務が話題になった当時からすでに月の時間外労働時間の平均は30時間以内に収まっていました。病院に守られて元気な職員が患者さんを守る、この好循環が“究極の患者優先主義”につながると考えます。3領域における最後の砦を目指して――職員一丸となり地域の健康を支える
仙台厚生病院
呼吸器センター

救急から慢性疾患まで幅広く対応――地域に寄り添う呼吸器診療を提供
当院の呼吸器センターでは、緊急対応が必要な病気から、喘息をはじめとする慢性疾患、そして肺がんの治療まで、呼吸器の病気に幅広く対応できる体制を整え、地域の皆さんの健康を幅広くサポートしています。
当センターの医師は内科・外科合わせて24人おり、それぞれの専門性を生かしつつも、“どの医師が診ても質の高い、均一な診療”を提供できるよう日々研鑽を積んでいます。2024年度(2024年4月~2025年3月)は約3,300名の初診患者さんの診療にあたらせていただきました。検査や治験にも積極的に取り組んでおり、経験を重ねてきたからこその診療を提供できると自負しています。
呼吸器の治療は、患者さんのお話をしっかりとお伺いすることから始まります。検査画像だけを見て、独りよがりな診断・治療を行う医師は当院にはいません。「治療の答えは患者さんの中にある」ということを常に心に留め、丁寧な説明と温かい診療を提供するのが仙台厚生病院の呼吸器センターです。宮城県の呼吸器診療の要となるべく、今後も患者さん一人ひとりに寄り添いながら迅速な診断と治療を心がけてまいります。どんな些細な症状でもかまいませんので、呼吸器の病気や呼吸機能に不安のある方はぜひご相談ください。
医師の所属人数および人員配置については2025年6月時点の情報です。

仙台厚生病院における
肺がん・間質性肺炎・慢性呼吸器疾患の治療・呼吸器の検査体制肺がん・間質性肺炎
慢性呼吸器疾患の治療
呼吸器の検査体制
慢性呼吸器疾患の治療
呼吸器の検査体制
肺がんの治療
肺がんは“治癒を目指せる病気”へ――患者さんに寄り添うチーム医療を提供
肺がんと聞くと、不安に感じられる方も少なくないでしょう。しかし、近年の医療の進歩は目覚ましく、肺がんは決して“治らない病気”ではなくなってきています。
とはいえ肺がんは初期に自覚症状が出にくい病気ですので、もし気になる症状があれば、早めの受診を検討ください。当院では、患者さんに良好な予後を過ごしていただくために、“迅速な診断・迅速な治療”を診療の基本方針としています。X線で気になる影が見つかった場合は、できる限り早くCT検査などの画像検査を行うことで、早期診断につなげています。当院の検査については、ぜひこちらもご覧ください。

治療においては、医師によって診療の質にばらつきが出ないよう、“標準化”に重きを置いています。治療方針は、週に一度開催されるカンファレンスで、複数の医師がそれぞれの視点や知見を持ち寄り、呼吸器内科全体で決定しています。これにより、患者さんにふさわしい治療を多角的に検討し、提供できると考えています。
体への負担を少なく、社会生活への早期復帰を目指す低侵襲手術
早期の肺がんは手術の適応となります。当院では胸腔鏡下手術とロボット支援下手術の両方に対応しています。ロボット支援下手術は2024年の9月に導入を開始し、手術体制の拡充にも努めてまいりました。これらの手術は、従来の開胸手術に比べて傷が小さく、体への負担を軽減できるのが特徴です。

近年は“低侵襲(体への負担が少ない)治療”という言葉が広まってきていますが、私たちは単に傷の大きさが小さいこと、傷の数が少ないことだけを低侵襲とは捉えていません。患者さんが一日も早くご自宅に帰り、社会生活に戻れることこそが、私たちの考える“真の低侵襲”です。その点においては、ロボット支援下手術では術後の疼痛が胸腔鏡下手術よりも弱く済むことや、当院では手術時間の短縮にもつながっていますので、より一層の低侵襲治療になり得ると考えます。
当院は呼吸器・循環器・消化器の3領域に特化した病院であるため、肺がんの手術を迅速に行える環境が整っています。胸腔鏡下手術であれば通常、診断から1~2週間後には手術を受けていただくことが可能です。ロボット支援下手術の場合でも患者さんのご希望を可能な限り尊重し、1日でも早く治療を開始できるよう努めています。がん治療において、早期治療に勝るものはありません。患者さんの心の準備ができ次第、すぐにでも治療にあたれるよう体制を整えていますし、治療にあたって不安があれば、どんな些細なことでもご相談に乗りますので、どうぞご安心ください。
病と闘う人のため――個別化医療で理念に沿った診療体制
肺がん治療においては新しい薬が続々と登場してきています。私たちは、精密な病理検査を行い、効果が期待できる分子標的治療薬や免疫チェックポイント阻害薬などを適切に選択することで、患者さん一人ひとりに合わせた“個別化医療”を実践しています。
また、当院は年間60件以上の治験を受託しています*。これにより、当科が重視している日本肺癌学会の診療ガイドラインに準拠した標準治療に加えて、新しい治療にもアクセスできるのが当院の大きな強みです。他の病院から治験を目的としてご紹介いただくこともあります。化学療法の選択肢を増やし、患者さんが生涯で受けられる治療の幅を広げることで、よりよい予後につながると考えています。
なお、抗がん薬治療は副作用を伴うことが多いため、当院では医師だけでなく、看護師や薬剤師とも密に連携し、副作用のマネジメントに細心の注意を払っています。万が一、化学療法の副作用や体調の変化があった場合でも、24時間365日、呼吸器内科を専門とする医師が常駐していますので、いつでも迅速に対応できる体制を整えています。
2022年度(2022年4月~2023年3月)……69件、2023年度(2023年4月~2024年3月)……67件、2024年度(2024年4月~2025年3月)……68件

治療に関することだけでなく、在宅療養や介護施設を含む療養環境に関するご相談にも対応しています。院内の地域医療連携室やがん相談支援センターと連携し、患者さんやご家族のご希望に沿った療養先のご紹介も行っています。また、治療と仕事の両立に不安を感じている方も、どうぞお気軽にご相談ください。社会保険制度や就労継続支援などについても、社会福祉士によるサポートのもと、患者さんやご家族が安心して生活を続けられるよう、医療と生活の両面から切れ目のない支援を心がけています。
“私たちがあるのは病と闘う人のため 病と共に生きる人のため” という病院理念のもと、患者さんの人権と人格を尊重した医療に徹し、全職員が連携して新たな医療技術の習得と実践に努めています。私たちと一緒に治療を進めていきましょう。


間質性肺炎の治療
病気を知ることが治療の第一歩――早期発見へ向けた啓発活動に注力
間質性肺炎は、一般的な肺炎とは異なり、肺の組織が硬くなってしまう病気です。咳や息切れといった症状がみられますが、これらの症状は他の呼吸器疾患でも起こるため、患者さんご自身が間質性肺炎を疑って受診されるケースは残念ながら多くありません。そのため、患者さんの中には、なかなか診断がつかずに原因不明の症状に不安を抱えながら日々を過ごされている方もいらっしゃいます。
このような状況に対処すべく、私たちは地域のクリニックの先生方に向けて間質性肺炎を見逃さないためのポイントをお伝えしたり、地域の方に向けて市民公開講座を開催したりして、この病気について広く知っていただくための啓発活動にも力を入れています。

さらに当院では、診断・治療を少しでも早く提供できるよう、予約なしで受診いただける間質性肺炎外来を開設しました。間質性肺炎をご存じでなくても、予後のよくないとされる特発性肺線維症は耳にしたことがあり、予後のよくない病気というイメージを持っている方もいらっしゃるかもしれません。たしかに特発性肺線維症は間質性肺炎の一種ですが、このほかにもさまざまなタイプがあります。適切な治療を行うことで症状の進行を抑えることができるものもありますので、まずは原因を特定することが治療の第一歩として非常に重要です。当院の検査については、ぜひこちらもご覧ください。
約30年にわたる知見とチーム医療で、多種多様な間質性肺炎に対応
私(木村 雄一郎)は、30年ほど前から東北大学病院で肺がんや間質性肺炎といった難治性の肺疾患の研究と診療に携わってきました。また私の師事した教授が厚生労働省の「びまん性肺疾患に関する調査研究班」に属していたことで、全国の呼吸器診療を専門とする先生方に知見を共有いただくなどして、幅広い症例に触れ、経験を重ねることができました。かつては治らないと考えられていた病気ですが、近年では新しい治療薬が開発され、症状の進行を遅らせることが可能になっています。長年蓄積してきた知見と共に間質性肺炎の診療にあたりますので、安心して治療をお任せください。

間質性肺炎の原因は多岐にわたります。当院では、リウマチや強皮症などの膠原病の有無、あるいは過敏性肺炎でないかなどを、一つひとつ丁寧に調べて間質性肺炎のタイプを特定していきます。間質性肺炎よりも膠原病などの合併症の症状が強く、そちらの治療を優先すべきと判断した場合は、地域の大学病院と密に連携し、適切な医療機関をご紹介することも可能です。
また、特発性間質性肺炎と診断され、呼吸機能の低下がみられる場合には、国が指定する指定難病の申請が可能となり、これにより医療費助成を受けることができます。呼吸機能の検査である6分間歩行試験を行い、呼吸機能の低下があった場合は、できる限りその日のうちに難病申請に必要な書類の作成までサポートする体制を整えています。患者さんが少しでも早く治療を開始できるよう、そして不安を抱えたままご帰宅されないよう、きめ細やかな対応を心がけています。
咳や息切れなど、気になる症状があるものの、どこを受診すればよいか迷っている方は、紹介状なしでも構いませんので、どうぞ一度当院へお越しください*。中には娘さんや息子さんがご家族を連れて来院されるケースも増えています。どんな些細なご相談でもかまいません。いつでも当院へご相談ください。
紹介状をお持ちでない場合、初診料に加えて7,700円(選定療養費・税込)が発生します。あらかじめご了承ください。

慢性呼吸器疾患の治療
呼吸器の慢性疾患――古くからある病気にも新しい治療が提供可能に
長引く咳や息切れ、痰がからむなどの症状は、喘息やCOPD(慢性閉塞性肺疾患)のほか、気管支拡張症、非結核性抗酸菌症(NTM症)などの慢性の呼吸器疾患による可能性があります。これらの病気は進行すると生活の質(QOL)を著しく損なうことがありますが、近年は新しい治療法が次々と登場しており、症状の改善や増悪予防が期待できる時代になっています。当院では、こうした慢性呼吸器疾患に対して、患者さん一人ひとりに合った医療を届けることを大切にしています。

気管支喘息の治療
喘息は、気道に慢性的な炎症が起こり、咳や喘鳴(ゼーゼー音)、呼吸困難などの発作を繰り返す病気です。治療の基本は吸入ステロイド薬ですが、近年は重症例に対して“生物学的製剤”と呼ばれる注射薬が登場し、経口ステロイド薬の使用回数や発作回数が減るなどの効果を示しています。当院でも積極的に導入しており、患者さんの中には、発作が減り、生活の質が向上した患者さんもいらっしゃいます。
COPD(慢性閉塞性肺疾患)の治療
COPDは主に長年の喫煙によって引き起こされ、気管支が細くなったり肺胞が壊れたりすることで、呼吸機能が徐々に低下していく病気です。治療には吸入薬による気道の拡張に加え、最近では生物学的製剤や、重症例には“気管支バルブ”を使った内視鏡治療*も選択肢となっています。また、呼吸機能の維持には禁煙支援や呼吸リハビリテーションといった非薬物療法も非常に重要です。当院でもしっかりとサポートしますのでご安心ください。
COPDが進行すると、肺の中で空気が滞り重度の息切れが生じます(過膨張)。気管支バルブを使った内視鏡治療によって、取り込む空気の量を調整し、呼吸機能の改善を目指す治療です。当院では、この治療が必要と判断した場合、実施可能な施設にご紹介します。
気管支拡張症の治療
気管支拡張症は、気管支が慢性的に広がってしまい、痰が排出しにくくなることで細菌感染を繰り返す病気です。原因は感染後遺症や免疫異常などさまざまですが、画像診断(CT検査)や喀痰検査で早期診断が可能です。当院では抗菌薬の適切な使用とともに、呼吸訓練や排痰法の指導も行い、症状のコントロールを図っています。近年、治療の進展が目覚ましい分野でもありますのでお困りの方はご相談ください。
非結核性抗酸菌症(NTM症)の治療
NTM症は、結核とは異なる抗酸菌によって引き起こされる慢性肺感染症です。肺に発生すると長引く咳や痰、微熱、倦怠感などが続き、治療には長期間の複数の抗菌薬が必要となることがあります。当院では喀痰培養・PCRなどを用いた確実性の高い診断に努めています。新しい治療(吸入の抗菌薬)も取り入れ、難治例にも対応可能です。
正しい診断が、正しい治療につながる
慢性呼吸器疾患は十年、数十年の単位で付き合っていく病気です。その長い経過の中で治療も進歩しますし、患者さんの体も年齢を重ねて変化します。慢性呼吸器疾患の分野でも新薬の開発が進んできており、これまで治療が難しかった病気にも徐々に対応できるようになってきています。

慢性呼吸器疾患を診るうえで最も大切なのは“正しい診断”だと考えています。当院では、丁寧な問診に加え、肺機能検査などの生理学的な検査はもちろん、必要に応じて気管支鏡検査などの侵襲的な(体に負担を与えるような)検査も行い正しい診断を目指します(当院の検査についてはこちらもご覧ください)。
院内、地域との連携で患者さんの生活を支える
呼吸器の病気は“仕方のないもの”と思われがちですが、医学の進歩によって治療は大きく変化しています。過去に治療がうまくいかなかった方も、ぜひあきらめずに仙台厚生病院にご相談ください。
2024年の新病院開設以降は、呼吸リハビリテーションも可能となり、息切れ軽減や体力向上を目指した包括的な支援も始まりました。より重点的なリハビリテーションが必要と判断した場合は、専門の施設へご紹介することも可能です。症状が落ち着いた患者さんには、かかりつけのクリニックで治療を継続していただくことで、通院しやすさにも配慮しています。何かあった際には再び当院を受診いただく連携体制も築いていますのでご安心ください。

呼吸器の検査体制
気管支鏡専門医*による、精度と安全性にこだわった気管支鏡検査
呼吸器疾患の適切な治療には、正確な診断が欠かせません。当院では、患者さんの負担をできる限り少なくしながら、精度の高い検査を提供することに注力しています。
肺がんや間質性肺炎などの病気を診断する際には、気管支鏡検査を積極的に行っています。X線(レントゲン)やCTなどの画像検査だけでは「疑わしい」としか言えない病変も、気管支鏡で組織を採取し、顕微鏡で調べることで、がん細胞の有無や種類などを正確に特定することができます。当院は、気管支鏡専門医*を中心に、年間600~700件の気管支鏡検査**に対応しています。検査経験を積み重ねてきた医師が在籍していますので、出血や気胸などの合併症にも迅速に対応可能です。
日本呼吸器内視鏡学会認定
2022年度(2022年4月~2023年3月)……702件、2023年度(2023年4月~2024年3月)……737件、2024年度(2024年4月~2025年3月)……683件

なお検査の際には、鎮静薬を使用し、患者さんに少しぼーっとした状態で検査を受けていただいています。完全に眠ってしまったほうが楽だと感じる方もいらっしゃるかもしれませんが、完全に眠るよりも、軽い眠気状態で意識が残ることで、医師との意思疎通が可能となり、より安全な検査につながると考えています。さらに当院では、どの医師が検査を行っても同じ質の検査を提供できるよう、院内の技術向上にも力を入れています。日々技術を磨き、安全管理を徹底して検査に臨んでいます。
気管支鏡検査とCTガイド下生検の二刀流で診断精度を高める
病変の場所によっては、気管支鏡では組織を採取しにくい場合もあります。特に肺の端のほうに病変がある場合は、CTガイド下生検を行います。この検査は、CT画像で病変の位置を確認しながら、体の外から針を刺して組織を採取する方法です。
CTガイド下生検は放射線科で行われることが多いですが、当院では呼吸器内科の医師がこの検査を行っています。これにより、待ち時間の短縮、迅速な診断が可能になります。さらに、複数の病変がある場合でも、病気を熟知している呼吸器の医師が、診断に適した部位を選択して組織を採取することができます。
気管支鏡検査とCTガイド下生検の両方を行える体制を整えることで、それぞれの検査の長所を生かし、補い合い、より質の高い医療の提供につなげています。

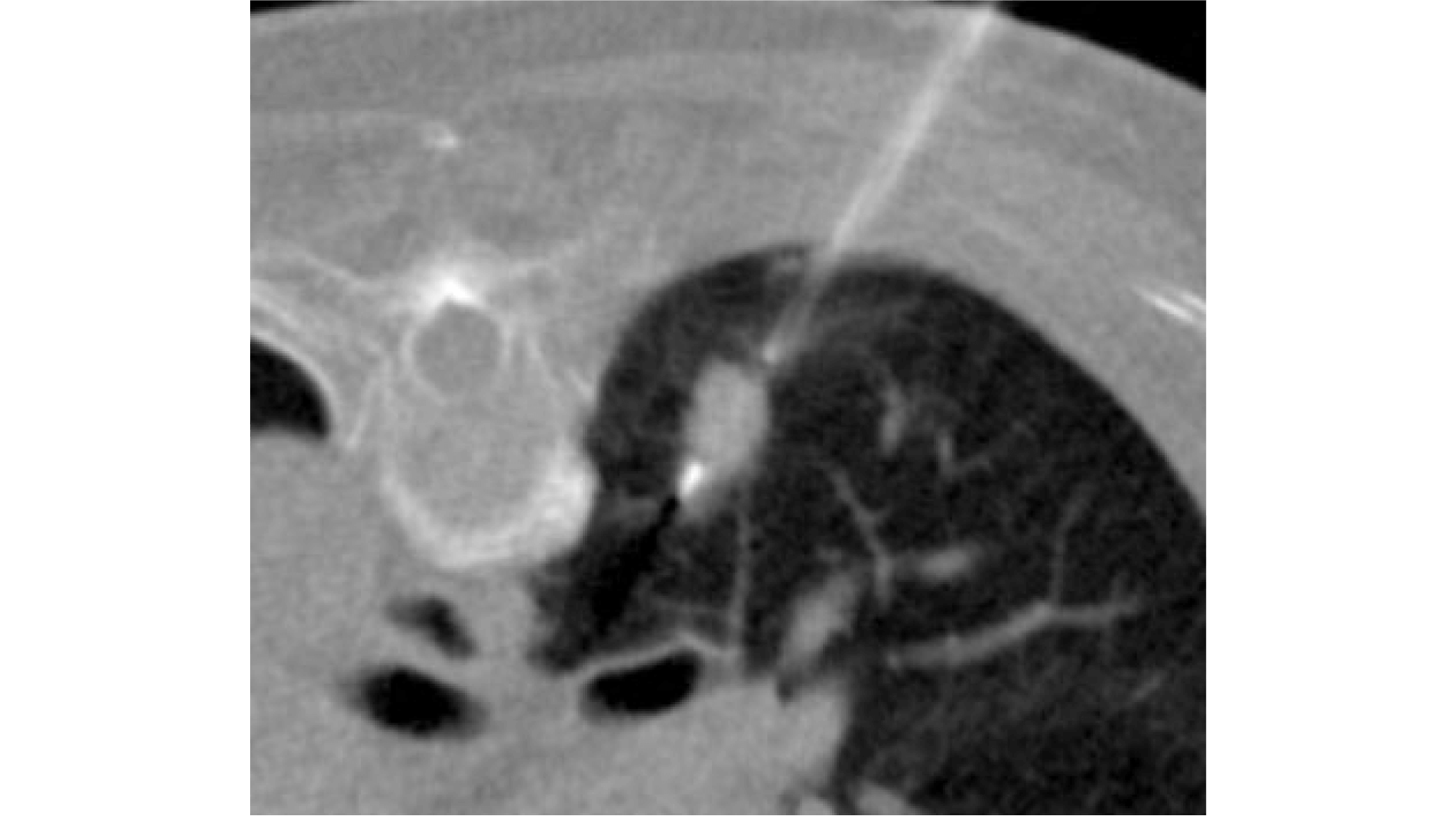
CTガイド下生検のようす
クライオ生検にも対応――体への負担を軽減する新たな検査
肺がんや間質性肺炎の診断では、病気のタイプを正確に特定するために、十分な量の組織を調べることが重要です。これまでは、診断に必要な量の組織を採取するためには、手術(外科的に肺の一部を切除すること)が必要となるケースもありました。
これに対し、当院ではクライオ生検という検査方法を導入しています。これは、肺に挿入する器具の先端を瞬間的に冷却して組織を凍結させ、先端にくっついた組織を採取する方法です。この方法を用いることで、通常の気管支鏡よりも大きな組織を採取することが可能となり、より正確な診断につながります。
クライオ生検は、組織を採取する際に出血や気胸を伴うリスクがありますが、当院では、この分野で症例を重ねてきたスペシャリストの先生をお招きし、安全性を高めた手技を学ぶなど、知見を取り入れて出血のリスクを最小限に抑える工夫をしています。手術の必要がないため、患者さんの体への負担が少なく、検査後は1泊でご帰宅いただけます。

当院では、後進の医師にも積極的に検査技術を伝え、院内の手技レベルを高く維持できるよう努めています。また、胸にたまった水(胸水)の原因を調べる検査として、局所麻酔下での胸腔鏡を用いた検査(局麻下胸腔鏡検査)も行っていますので全身麻酔が難しいという理由で検査を諦めていた方も、どうぞご相談ください。私たちは、患者さんの幅広いニーズに応えられるよう、検査の技術・精度を高め、患者さんの負担をできるだけ少なくするよう日々努力を重ねています。万全の体制で患者さんを迎えられるよう日々手技の向上に努めておりますので、何か呼吸器の症状で気になること(健診で肺に影があるといわれた、咳や痰が長引く、血の混じった痰が出る、など)がございましたら、かかりつけの先生にご相談のうえ、ぜひ当院へお越しください。

- 公開日:2025年8月22日


