疾患啓発(スポンサード)

変形性膝関節症の治療――​​保存療法と手術治療

変形性膝関節症の治療――​​保存療法と手術治療
石川 博之 先生

横須賀市立市民病院 関節外科・人工関節センター 診療部長・人工関節センター長

石川 博之 先生

目次
項目をクリックすると該当箇所へジャンプします。

この記事の最終更新は2019年06月26日です。

変形性膝関節症の治療は、手術以外の「保存療法」と、「手術」の2種類に大きく分類されます。このうち保存療法には、薬物療法や運動療法、装具療法などさまざまな方法があり、患者さんに応じて適宜実施されます。保存療法は、痛みの症状を軽減する目的で初期に行われるケースが多いですが、変形性膝関節症の根治療法ではないため、保存療法を続けていても症状が進行することがあります。病気が進行すると膝がうまく動かせなくなる恐れもあるため、病気が進行する前に手術を行うことが重要であると、横須賀市立市民病院関節外科診療部長の石川博之先生はおっしゃいます。変形性膝関節症のさまざまな治療について、石川博之先生にお話しいただきました。

変形性膝関節症は「治る」という表現があてはまらない病態です。症状がよくなったり悪くなったりを繰り返して、病態が進行していきます。初期段階では、保存療法で痛みを取ることが期待できますが、進行すると保存療法による治療効果を感じられなくなるケースが多いといえるでしょう。

このような理由から、当院では、保存療法による治療効果を感じられなくなる前に、高位脛骨(けいこつ)骨切り術(以下、「骨切り術」)または人工膝関節置換術を行うことを推奨しています。膝の変形が軽度で年齢が比較的若い方の場合は、基本的に骨切り術が適応になることが多いです。変形性膝関節症の病状がかなり進行してしまった場合は、骨切り術では十分な除痛効果が得られないため、人工膝関節置換術の適応となります。

骨切り術には、

  • Open Wedge High Tibial Osteotomy(開大式高位脛骨骨切り術)
  • Closed Wedge High Tibial Osteotomy(閉鎖式高位脛骨骨切り術)
  • 大腿骨外反骨切り術
  • 外側型変形性膝関節症に対する大腿骨内反骨切り術
  • 遠位大腿骨骨切り術と高位脛骨骨切り術の両方を同時に行うDouble Level Osteotomy

などがあります。

当院では、患者さんの膝の状態や職業、趣味、生活様式などを考えて、一人ひとりに適した術式を検討しています。

変形性膝関節症に対して薬物療法を実施する場合、当院では肝障害のある方などを除き、オピオイド鎮痛剤を使用しています。NSAIDs(非ステロイド系消炎鎮痛剤)の使用は、服用期間にかかわらず、なるべく避けています。NSAIDsは副作用として消化管出血のリスクが高まることが知られており、近年では腎障害のリスクも喚起されているため、慎重に処方することが望ましいと考えているためです。

横須賀市立市民病院リハビリテーション療法科スタッフの皆さん
横須賀市立市民病院リハビリテーション療法科スタッフの皆さん

当院は、整形外科とリハビリテーション療法科が連携し、術前の運動療法を積極的に実施しています。

当院では、変形性膝関節症はいずれ手術療法が必要となる病気だと考えています。このことを前提にお話しすると、術前の運動療法では、太ももの前側にある大腿四頭筋訓練と、膝関節可動域訓練(関節ストレッチ訓練)を重点的に実施します。

手術を受けると、痛みによってうまく動かせず低下していた筋力がさらに低下します。ですから、術前から運動療法を行い、低下が予測される筋力を回復しておくことが重要です。

また、骨切り術では術前に保たれていた膝の可動域が、そのまま術後の可動域となります。このため、手術前の時点でかなり可動域が狭くなっている場合は、骨切り術ではなく人工膝関節置換術の適応を検討することがあります。骨切り術の選択肢を残すためには、膝関節の可動域を保っておくことが重要です。

手術後はリハビリテーション療法科と連携して、早期荷重を目指したリハビリテーションを実施します。

O脚の方には足の外側を高くした「足底板」という装具を装着することがあります。

足部の変形が強い方には、変形した足の形に対応した形態のものを複合させることもあります。装具療法は補助的な治療法であり、一生涯装具を装着して生活する方はあまりいらっしゃいません。

当院では、立ち上がりの動作時の痛みや、階段昇降時の痛みがはっきりと出てきた段階で、手術を受けていただくことを推奨しています。

手術治療は、膝関節鏡手術、高位脛骨骨切り術、人工膝関節置換術の3種類に大きく分類されます。

変形性膝関節症初期に行う方法です。膝関節鏡手術を行うことで一時的な除痛効果が得られますが、膝関節鏡手術は根治を目的にした手術ではないため、術後しばらくして再び症状が現れることがあります。初期の変形性膝関節症の場合、関節鏡を用いた関節内のクリーニングで対応できることもありますが、あくまで一時的な除痛処置と考えています。

急場をしのぎたい方や、長期間の入院が難しいという方でも受けていただきやすいことが特徴です。

当院では、主に関節内のクリーニングを目的として実施することが多いです。画像検査上では重症度が高くないと推察できるものの、痛みを強く訴える患者さんには、直接関節の内部を観察する目的で膝関節鏡手術を行うこともあります。

骨切り術は、その字のごとく骨を切って骨の角度を変えて付け替えるという手術です。自分の膝関節を残したまま治療することができます。当院では、膝関節の可動域が一定以上保たれており、なおかつ活動性の高い方に対しては骨切り術を行うことが多いです。かなり進行した変形性膝関節症には適応されないことがあります。

記事1」でご説明した通り、変形性膝関節症で傷んだ関節部分には体重がかかりやすく、軟骨がすり減って病気が進行し、痛みが増悪していきます。骨切り術では、関節部分に大きな処置は施さずに、アライメント(流れ)を変えることで体重を受ける役割を軟骨の多く残っている部分へ移行させ、痛みを和らげます。

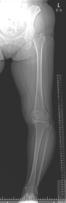
骨切り術前のレントゲン写真
骨切り術前のレントゲン写真
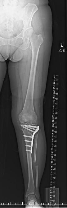
骨切り術後のレントゲン写真
骨切り術後のレントゲン写真

関節の部分はそのまま残すので、膝の曲げ伸ばしの状態は手術前と変わりません。たとえば、術前にしゃがむことができている方であれば、術後もしゃがむことができます。

骨切り術は膝関節を切らない術式であるため、ご自身の膝関節を温存できることが特徴です。術後、O脚の方はX脚気味になります。

費用について

高位脛骨骨切り術の費用は、年齢や所得に応じて変わります。骨切り術は健康保険適用の治療法で、なおかつ高額療養費制度が適応となるため、最大自己負担金額は1か月で10万円程度(差額ベッド代などを除く)になります。

人工膝関節置換術は、分かりやすく言うと、虫歯の治療と同じく関節面の表面を削って金属をかぶせてしまう手術です。痛みがほぼ消失することが期待できる手術法です。当院では、末期の変形性膝関節症の方を対象に、ナビゲーションシステムを用いて行っています。またご希望のある方には専用の手術機器(PSI)を用いたより精度の高い手術を行っております。

通常は術後の膝に慣れるまで3か月前後を要します。この間は曲げ伸ばしで痛みがありますが、歩行時の痛みは軽減されます。ただし人工膝関節は一生体の中に入り続けます。人工膝関節にも寿命があり、約20年前後といわれています。

この手術後はしゃがむ動作が難しくなるので、和室での生活をしている方はソファーやベッドの生活へ変えていただきます。また激しい動きは人工膝関節の寿命を短くしてしまうため、登山やスポーツなどは制限されます。人工膝関節に寿命がきたときや感染が生じたときは、再手術による人工関節の入れ替えが必要です。

受診について相談する
  • 横須賀市立市民病院 関節外科・人工関節センター 診療部長・人工関節センター長

    石川 博之 先生

「メディカルノート受診相談サービス」とは、メディカルノートにご協力いただいている医師への受診をサポートするサービスです。
まずはメディカルノートよりお客様にご連絡します。現時点での診断・治療状況についてヒアリングし、ご希望の医師/病院の受診が可能かご回答いたします。
  • 受診予約の代行は含まれません。
  • 希望される医師の受診及び記事どおりの治療を保証するものではありません。

    「変形性膝関節症」を登録すると、新着の情報をお知らせします

    処理が完了できませんでした。時間を空けて再度お試しください

    本ページにおける情報は、医師本人の申告に基づいて掲載しております。内容については弊社においても可能な限り配慮しておりますが、最新の情報については公開情報等をご確認いただき、またご自身でお問い合わせいただきますようお願いします。

    なお、弊社はいかなる場合にも、掲載された情報の誤り、不正確等にもとづく損害に対して責任を負わないものとします。

    「受診について相談する」とは?

    まずはメディカルノートよりお客様にご連絡します。
    現時点での診断・治療状況についてヒアリングし、ご希望の医師/病院の受診が可能かご回答いたします。

    • お客様がご相談される疾患について、クリニック/診療所など他の医療機関をすでに受診されていることを前提とします。
    • 受診の際には原則、紹介状をご用意ください。
    実績のある医師をチェック

    変形性膝関節症

    Icon unfold more