
2022年4月、切除不能な大型*肝細胞がんに対する粒子線治療が保険適用となりました。粒子線治療は、がんに粒子線を照射してがん細胞を死滅させる治療です。放射線治療のX線治療と粒子線治療には、どのような違いがあるのでしょうか。今回は、記事1『肝臓がんの一種、肝細胞がんとは? ほかのがんと違う点、治療方法などについて』でご説明した肝細胞がんに対する粒子線治療について、兵庫県立粒子線医療センター 放射線科長の寺嶋 千貴先生に伺いました。
*直径4cm以上を指す

放射線治療は、放射線をがん細胞に照射して、がん細胞のDNAを破壊する治療方法です。患者さんには治療台の上で横になり、放射線照射を受けていただきます。がんの状態によって、数回から数十回に分けて、さまざまな角度から放射線を照射します。皮膚を切ることもありませんので、通常、照射中は痛みやかゆみを感じることはありません。
放射線治療には2種類あり、1つはX線を含む光子線治療、もう1つは本記事でご説明する粒子線治療です。さらに粒子線治療には、重粒子線(炭素イオン線)と陽子線の2つがあります。
粒子線治療を含む放射線治療は、細胞の中にあるDNAを破壊する治療方法です。
細胞は、人間が生きている限り常に分裂し生まれ変わっています。DNAが破壊された細胞は、細胞分裂するときにDNAにエラーが起きて生まれ変わることができなくなります。DNAが破壊されたがん組織は、細胞分裂を起こすたびに縮小していきます。そのため、放射線照射後、がん細胞はすぐに消えるわけではありませんが、半年から数年かけて消えていきます。これが、放射線治療の仕組みです。
なお、がんが根治していてもCTで影が残ることがありますが、それはケロイドのような瘢痕*組織です。影が残っているからといってがん細胞が残っているとは限りません。
*瘢痕…できものや傷などが治った後に皮膚面に残るあとのこと
このグラフでは、縦軸が「がん細胞に与える影響」、横軸が「皮膚からの深さ」を表しています。
光子線であるX線の場合は、皮膚を突き抜けてから約2cmのところで、がん細胞に与える最大の影響力を発揮した後、徐々に力を弱めながら体の中を突き抜けていっており、がん腫瘍ではない正常細胞にも影響があることが分かります。X線は、この体を突き抜けやすいという特性を活かして、レントゲン撮影にも使用されています。
一方で、粒子線である陽子線や重粒子線の場合は、ある深さで最大の影響力を発揮していることが分かります。粒子線がもっとも影響力を発揮する、この頂点のことを「ブラッグピーク」と呼びます。粒子線の特徴は、このブラッグピークの位置を腫瘍の深さに合わせて精密にコントロールできるという点です。粒子線はブラッグピークに達するまでは、X線と比較すると弱い力で体内を進み、ブラッグピークに達した後は、急激に0に近くなり停止します。

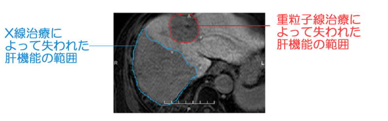
この画像は2回肝細胞がんを患い、重粒子線とX線の2種類の放射線治療をされた患者さんの肝臓を、MRIで撮影した画像です。赤の線が重粒子線治療の被ばくによって失われた肝機能の範囲、青の線がX線治療の被ばくによって失われた肝機能の範囲を表しています。
体内を突き抜ける性質であるX線の場合、がん組織に高い線量を照射するために多方向から分散して照射する必要があります。そのため、X線が通り抜けた広い部分が放射線の影響を受け障害を生じます。一方で、この画像から分かるように、X線治療よりも重粒子線治療による被ばく範囲のほうが狭くなっています。ブラッグピークを持つ粒子線治療であれば、ブラッグピークを過ぎると細胞に与える影響力は大幅に減少するため、粒子線治療は正常組織の障害が少なくてすみます。
このように、ブラッグピーク以外の部分ではX線よりも影響力が低く、正常組織への影響を抑えられることが、粒子線治療のメリットです。
費用等に関する事項や、治療等の主なリスク、副作用等に関する事項等の詳細な説明については、後項の「粒子線治療の注意点」でご説明します。
1つめは、X線治療と同様に、照射中は痛みやかゆみを感じないことです。
2つめは、前項でお伝えしたとおり、照射する範囲が狭く被ばくする範囲が抑えられるため、より多くの肝機能が残せることです。肝細胞がんには、肝臓内の別の領域に再発しやすいという特徴があるため、後の治療のためにも肝機能をできるだけ残しておくことが重要です。
一方、X線治療は広い範囲で被ばくしやすく、肝臓の半分近くの肝機能が失われることがあります。X線治療によって肝細胞がんを治療した後に、再発して治療が必要になっても、肝機能が不十分なため追加の治療が困難となる場合があります。
粒子線治療のデメリットは、大きく分けて2つあります。
1つめは、粒子線治療を行う医療施設が限られていることです。
2つめは、副作用があることです。ですが、肝臓がんの場合、一般のX線治療に比べて副作用は軽いといえます。
粒子線治療で発生する可能性のある副作用は、以下のとおりです。
ほぼ100%の確率で起こります。照射した部位の肌が赤くなったりただれたりし、軽く日焼けした状態になります。
約1%の確率で起こります。放射線性肝障害は、照射後何か月もたってから肝機能の低下が進行してしまう状態です。体のだるさや食欲不振などの症状が現れることがあります。まれに命に関わる状態になることがありますので注意が必要です。
がんの位置によって、肺にも粒子線が当たることがあります。この場合、被ばくの線量によっては肺臓炎を引き起こすことがあります。息切れ、咳、発熱などの症状が現れることがありますが、無症状の場合もあります。
がんの位置によって、肝臓の近くにある胃や十二指腸が被ばくすることがあります。この場合、放射線性消化管粘膜障害を引き起こすことがまれにあります。吐き気や嘔吐、腹痛などの症状が現れることがあります。
がんの位置によって、肋骨が強く被ばくすることがあります。この場合、粒子線治療終了後に、肋骨が骨折したりひびが入ったりすることがまれにあります。
記事3『兵庫県立粒子線医療センターの特徴——粒子線治療の実際はどのようなもの? 受診する方法は?』では、当院の受診方法、初診から治療完了までの流れや、治療中に患者さんに気を付けていただきたいことなどについてお伝えしていきます。
従来、肝細胞がんに対する粒子線治療は先進医療であったため医療費は全額自己負担でしたが、2022年4月1日より手術による根治的な治療法が困難な大型肝細胞がん(長径4cm以上)に対する粒子線治療が保険適用となりました。これによって、経済的な理由から粒子線治療を諦めていた方に治療選択肢が広がることが期待されます。
兵庫県立粒子線医療センター 医療部放射線科長兼放射線科部長
「肝がん」を登録すると、新着の情報をお知らせします
本ページにおける情報は、医師本人の申告に基づいて掲載しております。内容については弊社においても可能な限り配慮しておりますが、最新の情報については公開情報等をご確認いただき、またご自身でお問い合わせいただきますようお願いします。
なお、弊社はいかなる場合にも、掲載された情報の誤り、不正確等にもとづく損害に対して責任を負わないものとします。
「受診について相談する」とは?
まずはメディカルノートよりお客様にご連絡します。
現時点での診断・治療状況についてヒアリングし、ご希望の医師/病院の受診が可能かご回答いたします。