
指定難病および小児慢性特定疾病に指定されている「アレキサンダー病」は、かつて赤ちゃんや幼児にのみ起こる予後の悪い病気として認識されていました。しかし、21世紀に入り原因遺伝子が特定されて以降、成人後に発症する比較的進行がゆるやかなアレキサンダー病も存在することが明らかになりました。現在では、大脳優位型や延髄・脊髄優位型といった病型に分類され、それぞれに特徴的な症状も整理されています。京都府立医科大学神経内科准教授の吉田誠克先生に、アレキサンダー病の原因と症状、発症年齢についてご解説いただきました。
私たちの脳には、千数百億個の神経細胞とその周囲に神経細胞の数の50倍と見積もられているグリア細胞(神経膠(しんけいこう)細胞)が存在します。アレキサンダー病とは、グリア細胞のひとつである「アストロサイト」の構成成分のひとつ、「GFAP」をコードする遺伝子の異常によって起こる遺伝性の病気です。
GFAPは主にアストロサイトの骨組みとして重要な働きを担うタンパク質です。アストロサイトは脳が正常に働くよう、脳の神経細胞やその他のグリア細胞と密に連携を取るという重要な使命を担っていますが、GFAP遺伝子の異常によりアストロサイトの機能が障害されたためにこの使命を果たせなくなると、アレキサンダー病のような病像を示すと考えられています。
アレキサンダー病は遺伝子疾患であると述べましたが、先天的な遺伝子変異の影響は、必ずしも出生直後から現れるというわけではありません。成人期にアレキサンダー病を発症する患者さんも多く、なかには60歳や70歳といった高齢に達してから、症状がはじめて現れる患者さんもいます。
ただし、アレキサンダー病が成人期にも起こる病気であるとわかったのは、21世紀に入ってからのことです。まずは、アレキサンダー病の発見から原因解明に至るまでの道のりについて解説します。
アレキサンダー病の最初の報告は、今から半世紀以上前の1949年のことです。この年、アレキサンダーという医師が、重症痙攣(けいれん)を起こして亡くなった乳児の前頭部などに、正常な人には存在しない構造物が蓄積していることを報告しました。この構造物はのちにローゼンタル線維と呼ばれるものと同一であることが判明しました。
この報告以来、死後に死因を特定するための病理解剖によって、アストロサイトのなかにローゼンタル線維を広範囲にみとめた場合に、アレキサンダー病と診断されました。
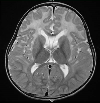
現在では脳の画像を描出できるMRI検査を用いると、前頭葉(ぜんとうよう)と呼ばれる脳の前方に「白質病変(はくしつびょうへん)」として、不自然に写ります。しかし、MRIが存在しない時代は、患者さんが生きている間にアレキサンダー病の診断をすることは非常に困難だったのです。
この時代、アレキサンダー病の疑いにより死後、病理解剖を受けるに至った患者さんとは、主に大きな痙攣や合併症のために、10歳未満で亡くなられた患者さんが大多数でした。一方で、後段でお示しする通り、成人のアレキサンダー病の存在も指摘されていましたが、症状が乳児のアレキサンダー病のそれとは大きく異なっているため、長年にわたり同じ病気ではないという考えが優勢でした。
2001年、アメリカのグループにより、アレキサンダー病で亡くなったお子さんの90%以上に、共通してGFAP遺伝子の異常がみられることが発表されました。これにより、アレキサンダー病が遺伝子疾患であるとわかり、病理診断に代わり遺伝子検査による診断が主流となりました。
既に2001年以前から、成人のなかにも子供のアレキサンダー病とよく似た歩行障害を持つ方が存在することは知られており、専門家間では成人発症の可能性も推測されていました。原因遺伝子が明らかになったことをきっかけに、このような方に対する遺伝子検査を実施したところ、GFAP遺伝子の異常がみられ、アレキサンダー病は大人にも起こる病気であることが判明しました。
このような経緯を経て、アレキサンダー病は今日、新生児から高齢者まで幅広い年齢の方に発症する病気として認知されるに至っています。
アレキサンダー病は従来、(1)乳児型、(2)若年型、(3)成人型と年齢ごとに分類されていました。
一方で、私たちは日本の全国疫学調査を行い、そのデータをもとにアレキサンダー病の臨床症状を明らかにして、より診断をつけやすくすることを目的に、以下の3分類を提唱しました。
大脳優位型のアレキサンダー病に認められる特徴的な症状は、次の3つです。
乳幼児期など、比較的早い段階で大脳優位型のアレキサンダー病を発症した場合、精神運動発達遅滞の症状が現れやすくなります。
健康なお子さんよりはゆっくりでも、徐々に言葉を獲得していくお子さんも少なからず見受けられます。
また、発症年齢が遅いほど、症状の程度も軽くなる傾向がみられます。

大脳優位型のアレキサンダー病の大半は乳幼児期に発症しますが、なかには出生後間もない新生児期に発症する例もあります。
アレキサンダー病を早期に発症した場合、生存はできるものの日常生活面で不利な点も生じてしまう重症例が多いという特徴があります。
また、新生児期に発症する例は、脳に水がたまる水頭症を合併し脳圧が上がってしまったり、全身状態が不良のため、生命の維持が難しい場合があることも事実です。
延髄・脊髄優位型アレキサンダー病ではMRI検査を行なうと、延髄や上位頸髄が顕著に細くなっている(萎縮している)という特徴的な所見がみられます。大脳優位型のアレキサンダー病とは異なり、大脳の前頭部には顕著な異常はみられません。
代表的な症状としては、以下のようなものが挙げられます。
延髄・脊髄優位型のアレキサンダー病では、上記の3症状のほかに、バランスが取りにくくなる運動失調や、立ちくらみや尿を出しにくくなるなどの自律神経障害が現れることもあります。
なお、延髄・脊髄優位型アレキサンダー病の場合、精神運動発達遅滞を伴うことは少ないという印象を持っています。
延髄・脊髄優位型アレキサンダー病の発症年齢は、学童期のお子さんから成人期の方まで幅広く、なかには70歳代で発症した患者さんもおられます。
大脳優位型と延髄・脊髄優位型、双方の特徴的な症状を1つ以上認める場合、中間型のアレキサンダー病に分類します。
ただし、患者さんは2つの病型の特色を均等に持っているわけではなく、大きく2つのパターンがあるように思われます。
一つは大脳優位型の患者さんが、その後長期生存していく過程で、延髄・脊髄優位型の症状を呈するというパターンです。このパターンを示す患者さんは、重度の障害を示すことが多くなっています。
もう一つは乳幼児期には大きな痙攣を起こすことが少なく、熱性けいれん程度で治まっていたものの、成長していくなかで歩行や食事に困難が徐々に現れるようになったために医療機関を受診するというパターンです。
いずれも多くの症例が精神運動発達遅滞を伴います。MRI検査では、症例により程度の差はありますが、前頭部の白質病変と延髄の萎縮といった大脳優位型と延髄・脊髄優位型の両者の特徴を認めます。
中間型は重度大脳優位型の長期生存例あるいは、大脳優位型の症状が軽度のために延髄・脊髄優位型の症状があらわれて初めて診断される型といえます。
神戸中央病院 脳神経内科 診療部長
様々な学会と連携し、日々の診療・研究に役立つ医師向けウェビナーを定期配信しています。
情報アップデートの場としてぜひご視聴ください。
「受診について相談する」とは?
まずはメディカルノートよりお客様にご連絡します。
現時点での診断・治療状況についてヒアリングし、ご希望の医師/病院の受診が可能かご回答いたします。