パーキンソン病は、脳内の細胞変性によって、手足の震えや動作の緩慢(遅くなる)といった症状が現れる進行性の病気です。60歳以上におけるパーキンソン病の有病率は100人に1人といわれており、高齢化が進む日本では、今後さらに患者数は増加すると見込まれています。
パーキンソン病の原因や症状、発見に至る典型的なケースについて、市立東大阪医療センター 神経内科 部長の隅寿恵先生にお話を伺いました。
パーキンソン病とは、脳内の細胞の変性によって、振戦(震え)や動作全般が遅くなるといった症状が現れる病気です。主に60歳代以降に発症し、徐々に進行します。40歳以下で発症した場合には、若年性パーキンソン病と呼ばれます。
パーキンソン病の有病率*は、10万人に100〜150人ほど(1,000人におよそ1~1.5人)です。60歳以上では、10万人に1,000人ほど(つまり100人におよそ1人)と、有病率は高くなります。
日本では高齢化が進み、寿命が延伸しているため、今後さらにパーキンソン病の患者さんは増加すると予想されています。このような背景から、早期にパーキンソン病に気づき、薬物療法以外の治療も含めて対応することで、自由に動ける期間をできる限り長くすることが大切であると考えています。
*有病率・・・一時点における病気の頻度をあらわす指標。ある時点における当該疾病の患者数を、単位人口(10万人あたりで示すことが多い)で割ったもの
パーキンソン病のほとんどは、孤発性(遺伝歴がなく、病気が散発的に起こること)です。一方、パーキンソン病の5〜10%は家族性(遺伝性)で、何らかの遺伝子異常によって発症することが知られています。
これまでの疫学調査の結果から、パーキンソン病の発症には、いくつかの環境因子が関連する可能性が示唆されています。たとえば、除草剤や殺虫剤などの農薬への曝露(さらされること)、運動や喫煙の習慣による抑制などが挙げられます。
しかしながら、現在のところ、パーキンソン病の発症リスクとの関連性を確実に証明された環境因子はありません。
パーキンソン病の発症のメカニズムについては、少しずつ研究が進んでいます。
脳の中央あたりに「中脳」が存在しており、中脳には、黒褐色のメラニンを含む「黒質」と呼ばれる神経細胞群があります。この神経細胞が少なくなると、脳を活性化するために必要な「ドパミン」という神経伝達物質が脳内で不足し、パーキンソン病の運動症状が生じると考えられています。

研究が進んだことで、パーキンソン病の発症には「αシヌクレイン」というタンパク質が深く関係していることが明らかになりました。本来は神経細胞の情報伝達に重要なタンパク質で、シナプスに大量に存在して機能するαシヌクレインが細胞内に蓄積し、レビー小体が細胞内に形成されることが、黒質神経細胞の減少、ドパミン産生の低下につながると考えられています。
また、このαシヌクレインの凝集(レビー小体)は、一方で黒質に現れる前から臓器の末梢神経にも存在することが知られています。症状の進行と共に脳全体に広く分布するようになります。これは、パーキンソン病で合併することの多い認知症や、便秘、夜間頻尿、立ちくらみといった自律神経症状に関連すると考えられています。

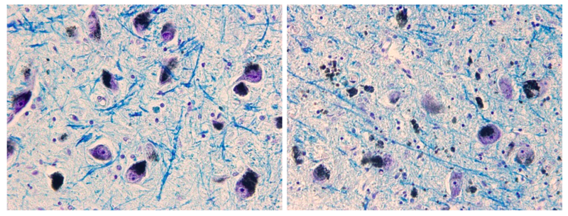
左はコントロール(標準試料)、右はパーキンソン病症例の黒質です。パーキンソン病では、メラニンを含む神経細胞が減少しメラニンが細胞外に観察されます。
近年、パーキンソン病では、「運動症状」のみならず精神症状や認知症、便秘といった「非運動症状」が生じることがわかってきました。
パーキンソン病の運動症状には、以下が挙げられます。
手や足、頭などの体の一部が、安静時に震えることが多いです。手はよく見える場所にあるので、患者さん自身が気づきやすく、周囲の方から指摘を受けやすい傾向にあります。パーキンソン病の振戦は、体の片側から現れ、徐々に反対側にも現れることが多いです。

関節の動きが少なくなることで、動作全般がぎこちなくなったり、すり足になったりします。動作の遅れにより、日常生活の動作(着替える、箸を持つ、ベッドから起き上がるなど)が難しくなります。このような動作の緩慢は、振戦と同様、体の片側から現れる傾向にあります。
以前と比べて、細かい指を使った動作がしにくい、誰かと一緒に歩いているときに自分だけ遅れる、少しの段差でつまずくという変化があれば、パーキンソニズムの初期症状かもしれません。このような場合には、「年のせい」と決めつけずに、まずはかかりつけの医師にご相談ください。
多くの場合、声が出しにくい(言葉が単調、小声、嗄声*など)、表情の変化が乏しい(仮面様顔貌といいます)といった症状を伴います。四肢の動かしにくさが関節や脊髄疾患、脳血管障害でも生じるのに対し、仮面様顔貌は、パーキンソン病のサインとして重要といえるでしょう。
*嗄声・・・声がかすれた状態
パーキンソン病の主な非運動症状には、以下が挙げられます。これらの非運動症状の一部は、パーキンソニズムよりも10〜20年ほど早く現れることが知られています。
便秘、夜間頻尿、立ちくらみ(起立性低血圧)、発汗異常などの自律神経症状を伴います。夜間の頻尿によって、不眠に陥っている患者さんも多くみられます。

いわゆる夜間不眠のほかに、REM(レム)睡眠行動異常症が現れることがあります。
REM睡眠行動異常症とは、レム睡眠(眠っていても眼球運動がある、眠りの浅い状態)中に筋肉の弛緩(ゆるみ)が起こらないために、夢の内容に従って叫んだり、体が動いたりする状態を指します。REM睡眠行動異常症はパーキンソン病の患者さんの15〜59%に起こるとされています。
REM睡眠行動異常症では、むにゃむにゃとした寝言ではなく、内容がはっきりとわかるような声で叫ぶ傾向がみられます。あとから本人にお話を聞くと、誰かと喧嘩したり追いかけられたりといった怖い夢を見ていると言います。
REM睡眠行動異常症は、薬物療法によってある程度その症状を抑えることができます。
パーキンソン病の治療については、「記事2」をご覧ください。
パーキンソン病における認知機能障害には、以下の特徴が挙げられます。
遂行機能障害とは、遂行機能(物事に対する計画を立てて実行する能力)が障害されることを指し、自分で計画を立てて行動できない、人に指示されないと何もできないなどの症状が現れます。
注意障害とは、物事に注意(意識)を集中することができなくなる障害を指します。落ち着きがなくぼんやりとして、何かに集中しようとしてもすぐに注意がほかのこと(もの)に移ったり、ミスが多くなったりします。
錯視とは、無意味な模様(影など)を、人や虫、動物などに見間違える状態です。幻視とは、実際にはそこにないものが見える状態を指します。
パーキンソン病における認知機能障害の発症頻度は高く、ある研究によれば、パーキンソン病を発症後、20年で8割が認知症になると報告されています。
パーキンソニズムよりも前に嗅覚障害が現れることが多くあります。その頻度は振戦よりも高いといわれ、パーキンソン病の初期症状として重要といえるでしょう。
パーキンソン病を疑い、診断に至る過程には、いくつかの典型的なパターンがあります。本項では、当院における2つの実例をご紹介します。
1人目は、68歳・女性の患者さんです。20年前から、便秘に対する内服治療を続けています。2年前に手が震えるようになり、それから1年ほどたって、話し声がボソボソと小さくなったそうです。それからだんだんと全体的に動作が遅くなり、顔が無表情になっていることに、ご家族が気づかれました。
半年前には、つまずいて転んだことをきっかけに外出を避けるようになりました。その時点で、歩行は小刻みですり足、前かがみの姿勢だったそうです。そこで、かかりつけ医に「歩きにくい」と相談したところ、パーキンソン病を疑われ、当院に紹介されました。
2人目は、71歳・男性の患者さんです。10年前から、夜間の就寝中に、喧嘩をしているようなはっきりとした寝言を言うようになりました。また、いつの頃からか匂いもわかりにくくなりました。2年前から起き上がりにくくなったため、自宅の寝具を布団からベッドに替えました。その1年後、友人と旅行した際に周囲のスピードについていけず、歩くのが遅いことに気づかれたと言います。
さらに半年後、歩く際に最初の一歩が出にくいと自覚した頃に、テレビでパーキンソン病のことを知り、心配になってかかりつけ医に相談した結果、当院に紹介されてきました。

パーキンソン病は、治療によってコントロール可能な病気です。もし「歩きにくい」「動作が遅い」と思ったら、転倒する前に、できるだけ早くかかりつけ医にご相談ください。
人に頼らず自分で自分のことをする、好きなときに外出するということは、何にも代えがたい幸せだと思います。私たちは、そのような幸せを一人でも多くの患者さんに、できるだけ長く感じていただくために、力を尽くします。
文献:パーキンソン病診療ガイドライン2018(監修 日本神経学会)
市立東大阪医療センター 脳神経内科 部長
「パーキンソン病」を登録すると、新着の情報をお知らせします
本ページにおける情報は、医師本人の申告に基づいて掲載しております。内容については弊社においても可能な限り配慮しておりますが、最新の情報については公開情報等をご確認いただき、またご自身でお問い合わせいただきますようお願いします。
なお、弊社はいかなる場合にも、掲載された情報の誤り、不正確等にもとづく損害に対して責任を負わないものとします。
「受診について相談する」とは?
まずはメディカルノートよりお客様にご連絡します。
現時点での診断・治療状況についてヒアリングし、ご希望の医師/病院の受診が可能かご回答いたします。