
門脈圧亢進症(もんみゃくあつこうしんしょう)とは、肝臓に注ぎ込む“門脈”という血管の血圧が上昇したことによって引き起こされる様々な状態をさします。記事1『門脈圧亢進症の原因・症状』では、門脈圧亢進症の原因と症状についてご説明しました。本記事では、門脈圧亢進症の検査と治療、予後について、山口大学医学部附属病院の石川 剛(いしかわ つよし)先生にお話を伺います。
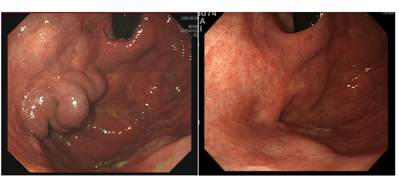
門脈圧亢進症の検査として、血液検査、超音波(エコー)検査、内視鏡検査(胃カメラ・大腸カメラ)、CT検査(X線を使って体の断面を撮影する検査)などが挙げられ、その結果を総合的に判断して治療に移行します。
門脈圧亢進症と診断されたら、(病状にもよりますが)1〜3か月に1回の頻度で医療機関を受診し、定期的に各種検査を繰り返す必要があります。
門脈圧亢進症を早期に発見するためには、定期的に自治体の検診や職場の健康診断、人間ドックなどを受けることが重要です。
特に、飲酒の習慣がある方、糖尿病や高脂血症などをお持ちの方、肥満体型の方は、脂肪肝に関連した肝硬変のリスクがあるため、定期的な検診をお勧めします。
(本項では、門脈圧亢進症の主たる原因である肝硬変の治療についてご説明します。)
肝硬変による門脈圧亢進症に対して、病気の進行度や症状に応じて治療を行います。
基本的な流れとしては、まず食事療法や薬物療法を開始し、それらでコントロールが難しい場合には、内視鏡やカテーテル(IVR)を用いて治療を施します。また、外科手術が必要な場合もあります。
腹水には塩分制限、肝性脳症には蛋白制限が重要であるため、食事療法はすべての治療の第一段階と言えます。
また、近年では肝硬変の合併症に対する薬物療法は目覚ましい進歩を遂げています。肝性腹水・肝性脳症のみならず、血小板減少や門脈血栓、さらには皮膚掻痒に対する新薬が次々に登場しています。
静脈瘤に対してはおもに内視鏡治療を行いますが、胃静脈瘤に対してはバルーン閉塞下逆行性経静脈的塞栓術(B-RTO)というカテーテル治療が有効な症例もあります。
また、脾腫・脾機能亢進による血小板減少に対する治療法として、部分的脾動脈塞栓術(PSE=カテーテル治療)や脾臓摘出術(外科手術)があります。

「門脈圧亢進症(略して、門亢症)」はあまり馴染みのない病名かもしれませんが、進行した肝硬変患者さんがお困りの病状の多くは、この“門亢症”が原因である可能性があります。
慢性の肝疾患、とくに肝硬変と診断された患者さんは、ぜひ“門亢症”を念頭に置いて定期的な検査(超音波・内視鏡・CTが三種の神器)を受けてください。また、メタボリック症候群(通称、メタボ)の心当たりがある方も「隠れ肝硬変、隠れ門亢症」かもしれません。ぜひ一度、検診を受けてみることをお勧めします。
山口大学 大学院医学系研究科消化器内科 講師
様々な学会と連携し、日々の診療・研究に役立つ医師向けウェビナーを定期配信しています。
情報アップデートの場としてぜひご視聴ください。
関連の医療相談が3件あります
食道静脈瘤の手術
肝硬変で非代償期ですが 食道静脈瘤のEISの手術を一度受けましたが二回目の次の手術まで最低どのくらいの期間が必要ですか? 又、脾臓も腫れています 静脈瘤の手術が終わったら脾臓の手術も必要なのでしょうか。 宜しくお願いします。
肝硬変の非代償期について
約2年前にアルコール性肝硬変と診断され投薬治療していましたが、食道静脈瘤、胃静脈瘤、門脈亢進症の合併症が出て、5月にそれぞれ硬化療法と脾動脈塞栓術を受けました。 この状態は非代償期に入っているのでしょうか? チャイルドピュースコアは中期に差し掛かっているくらいのスコアでした。
脾臓が大きい
16歳の息子が超音波で脾臓が少し大きい。と言われました。追加検査は指示されてませんが、ほっておいて良いのでしょうか?
※医療相談は、月額432円(消費税込)で提供しております。有料会員登録で月に何度でも相談可能です。
「門脈圧亢進症」を登録すると、新着の情報をお知らせします
「受診について相談する」とは?
まずはメディカルノートよりお客様にご連絡します。
現時点での診断・治療状況についてヒアリングし、ご希望の医師/病院の受診が可能かご回答いたします。