インタビュー

CADASIL(皮質下梗塞と白質脳症を伴う常染色体優性脳動脈症)とは?発症メカニズムや症状について

CADASIL(皮質下梗塞と白質脳症を伴う常染色体優性脳動脈症)とは?発症メカニズムや症状について
水野 敏樹 先生

京都府立医科大学 神経内科学 教授

水野 敏樹 先生

この記事の最終更新は2017年08月29日です。

CADASIL(皮質下梗塞と白質脳症を伴う常染色体優性脳動脈症)とは、国の指定難病にもなっている遺伝性の疾患です。症状の特徴は、大脳の白質病変や若くして発症する脳梗塞で、脳梗塞を繰り返すと運動機能障害や認知症が進行し、最終的には寝たきりとなってしまう患者さんもいます。本記事では、京都府立医科大学神経内科の教授である水野敏樹先生にCADASILのメカニズムや症状についてお話を伺いました。

CADASIL(Cerebral Autosomal Dominant Arteriopathy with Subcortical Infarct and Leukoencephalopathy:皮質下梗塞と白質脳症を伴う常染色体優性脳動脈症)は、常染色体優性遺伝によって「NOTCH3(ノッチ3)」という遺伝子が変異することで、大脳白質病変や若年性の脳梗塞を引き起こす病気です。

常染色体優性遺伝では、父親と母親のどちらかの染色体の一方にCADASILの疾患遺伝子を持っている場合、子どもに発症する確率は2分の1となります。

CADASILの遺伝子診断を行なっている病院は全国に数施設あり、京都府立医科大学だけでも150人前後の患者さんを遺伝子診断で確認しているので、国内の全患者数は約300〜500人前後ではないかと考えられます。

前項でも述べたように、CADASILの発症にはNOTCH3の遺伝子変異が関係しています。

NOTCH3は小血管の中膜にある平滑筋細胞に多く発現し、タンパク質を産生している遺伝子です。

このNOTCH3に異常が起こると、平滑筋細胞の周辺にNOTCH3が分解されたタンパク質断片が蓄積します。

このタンパク質断片の蓄積からCADASILで認められる大脳白質病変や脳梗塞が引き起こされるのではないかと考えられています。

NOTCH3の蓄積は脳だけでなく、皮膚や心臓、腎臓などの小血管の平滑筋細胞の周辺にも確認されていますが、脳以外の臓器に心筋梗塞や腎障害などの異常を起こしたという報告はありません。

脳にだけ特異的に異常をもたらす理由は明らかではありませんが、「血液脳関門」という血管から脳の中へ物質が入る時の関所としての働きが関与しているのではないかと考えます。

脳は細菌や薬剤など、あらゆる物質からの影響を受けやすいため、脳小血管から分岐した毛細血管で血液脳関門が血液を通じて脳内に流入してくる物質を制限する働きをして、脳を守っています。

しかしCADASILの患者さんの場合、NOTCH3断片の蓄積が血液脳関門の働きに異常をきたし、血液中の成分が脳に入りやすくなることで病変をもたらすのではないかと考えられています。しかしながら、これはあくまでも仮説であり未だ解明はされていません。

CADASILの患者さんの約半数に、20〜40代で片頭痛の症状が現れます。この時期からMRI画像を確認すると、大脳白質に白い斑点を認めることができます。大脳白質とは、脳内の神経細胞と神経細胞を結ぶ電線のようなもので、脳内の神経細胞間の連絡をとり、それぞれの神経細胞が果たしている役割を統合する働きをしています。

大脳は前頭葉・側頭葉・頭頂葉・後頭葉に分かれ、それぞれ数多くの神経細胞から成り立ち、以下のような役割を担っています。 

・前頭葉:物事を考えたり、計画を立てる

・側頭葉:記憶を貯めたり、聴覚的に音の理解を行う

・頭頂葉:感覚に関わる働きをして、手で触ったときの感触や温度を感じる

・後頭葉:視覚的な情報を集める

普段の私たちの生活では、これら一つ一つが単独で機能しているわけではなく、すべてがつながることで脳は機能しています。つまり、視覚的な情報と音の情報を統合し、それを側頭葉の記憶と照らし合わせて前頭葉で考えるというような働き方をしているのです。

これらのつなぐ作業を行なっているのが大脳白質であり、電線のように脳内に張り巡らされた状態となっています。

大脳白質は電気信号でやり取りを行なっているため、電線と同じように非常に微弱な電流が流れています。この微弱な電流が外へ漏れないように絶縁体の役割をする「髄鞘(ずいしょう)」というタンパク質が大脳白質を囲っています。髄鞘には脂肪分が多く含まれており、この脂肪分が白く見えるため白質という名前が付いています。

白質がNOTCH3の蓄積により徐々に傷ついていくと、傷ついた白質が癒合(ゆごう)して大きなMRIで見られる白い塊になります。それがさらに進行して白質全体が真っ白になってしまいます。

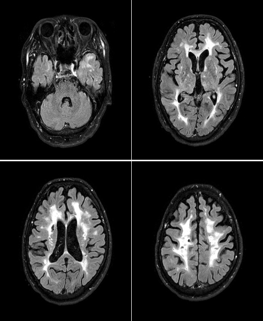
CALADIS
白く写っている箇所に白質病変、黒く点状・癒合状に抜けているところにラクナ梗塞が起きている  水野敏樹先生ご提供

上図のMRI画像をご覧いただくと、CADASILの白質病変は眼球の後ろ側の側頭極(そくとうきょく)という部分から起こりやすいことが特徴です。

近年は、医師のあいだでも、「側頭極に白質病変を確認したらCADASILを疑う」という認識が浸透してきたため、比較的早期にCADASILを診断できるようになってきました。

CADASILの患者さんは、40〜60代になると脳梗塞を発症しやすくなります。脳梗塞は脳血管が何らかの原因で詰まってしまい、血液が流れなくなってしまうことで、血液が栄養を供給している神経細胞などが破壊されてしまう病気です。非常にまれですが、10代で脳梗塞を発症する患者さんもいます。

CADASILで起こる脳梗塞の特徴は、繰り返し発作が起こることです。脳梗塞を繰り返し起こすと、それに伴う随伴症状が引き起こされます。

随伴症状として、まず麻痺などの運動機能障害が強くなります。また、大脳の前頭葉に影響を及ぼすことで、やる気の喪失や無感情といった、うつ症状も現れます。

さらに症状が進行すると、遂行機能障害(実行機能障害)が起こります。遂行機能障害とは、文字を書く、料理をする、計画を立てるなど社会的・家庭的に意味のある仕事をすることができなくなることです。遂行機能障害が進行すると、最終的には認知症や寝たきりとなってしまう患者さんもいます。

CADASILでは、脳梗塞の発症年齢、また脳梗塞発症の有無が予後を左右します。

前項で述べたように、40〜60代で脳梗塞を発症する患者さんが多いですが、なかには脳梗塞を発症しない患者さんもいます。

CADASSII
脳梗塞未発症の患者さんのMRI画像 水野敏樹先生ご提供

上の写真は70代女性のCADASIL患者さんのMRI画像です。白質が真っ白に傷ついてしまっていて、白質病変はかなり進行してしまっていますが、脳梗塞は発症していないのです。白質病変と脳梗塞は異なる現象ですから、脳梗塞に引き続き起こるような麻痺などの運動機能障害や気分障害、認知症などの症状はなく、現在も元気に主婦として仕事をされています。

CADASILの根本的な治療は、残念ながらまだ解明されていません。そのため病気の進行を防ぐためには脳梗塞の発症を予防することが最も重要となります。

記事2『CADASIL(皮質下梗塞と白質脳症を伴う常染色体優性脳動脈症)の進行を防ぐために−脳梗塞の発症を予防』では、CADASILで脳梗塞の予防方法や治療法について解説します。

受診について相談する
「メディカルノート受診相談サービス」とは、メディカルノートにご協力いただいている医師への受診をサポートするサービスです。
まずはメディカルノートよりお客様にご連絡します。現時点での診断・治療状況についてヒアリングし、ご希望の医師/病院の受診が可能かご回答いたします。
  • 受診予約の代行は含まれません。
  • 希望される医師の受診及び記事どおりの治療を保証するものではありません。

    医師の方へ

    様々な学会と連携し、日々の診療・研究に役立つ医師向けウェビナーを定期配信しています。
    情報アップデートの場としてぜひご視聴ください。

    学会との連携ウェビナー参加募集中

    「受診について相談する」とは?

    まずはメディカルノートよりお客様にご連絡します。
    現時点での診断・治療状況についてヒアリングし、ご希望の医師/病院の受診が可能かご回答いたします。

    • お客様がご相談される疾患について、クリニック/診療所など他の医療機関をすでに受診されていることを前提とします。
    • 受診の際には原則、紹介状をご用意ください。
    実績のある医師をチェック

    Icon unfold more