特発性膝関節骨壊死症は、突然発症する激しい膝の痛みを特徴とする病気です。進行すると変形性膝関節症によく似た症状が現れますが、初期段階では異常が発見されにくく、必須の検査はMRI検査です。治療しても症状がよくならないと感じたら、かかりつけの医師に相談して、さらに詳しい検査を受けることも大切です。
今回は、特発性膝関節骨壊死症とはどんな病気なのか、国立国際医療研究センター病院の整形外科診療科長・人工関節センター長である桂川陽三先生に伺いました。
※「国立国際医療研究センター病院」は、 2025年4月より「国立国際医療センター」に名称変更しています。

特発性膝関節骨壊死症は、膝の骨で「骨壊死*」が起こり、骨の一部が体内で吸収されて空洞になってしまう病気です。突然発症する激しい膝の痛みが特徴です。
進行すると、骨が空洞になったところに軟骨が落ち込み、関節の軟骨の部分が減ってきます。そのため、骨の病気ではありますが、軟骨がすり減ることで起こる変形性膝関節症と同じような状態になっていきます。
特発性膝関節骨壊死症について、医師の間でも話題に上るようになってきたのは比較的最近のことです。全国に患者さんがどのくらいいるのか、統計データはまだ報告されていません(2019年3月時点)。
また、変形性膝関節症の患者さんの中には、もともとは特発性膝関節骨壊死症を発症し、その症状が進行したことにより変形性膝関節症に移行したという患者さんも含まれていると考えられています。変形性膝関節症と診断された患者さんでも、よく調べてみると特発性膝関節骨壊死症だったというケースが増えてきています。
*骨壊死…骨の細胞が壊死すること。
特発性膝関節骨壊死症が発症する原因は不明とされています。血流障害が起こり、骨の中の血流がなくなることによって、骨が壊死するのではないかと考えられていますが、はっきりしたことはまだ分かっていません。

特発性膝関節骨壊死症を発症すると、膝の強い痛みが急激に出てきます。それも非常に強い痛みで、一般的な痛み止めでは痛みを抑えられないことが特徴です。
特発性膝関節骨壊死症の患者さんにお話を聞くと、「ちょっと足をくじいたら、そのときから急に物凄く痛くなった」というようにおっしゃる方が多いです。
特発性膝関節骨壊死症と症状が似ている変形性膝関節症は、慢性的に少しずつ軟骨が減ってきて、歩行時の膝の痛みなどが起こる病気です。よほど進行していなければ、休んでいるうちに痛みは治まってきます。
一方、特発性膝関節骨壊死症は、夜寝ているときでも、じっとしているときでも、強い痛みがあることが特徴です。

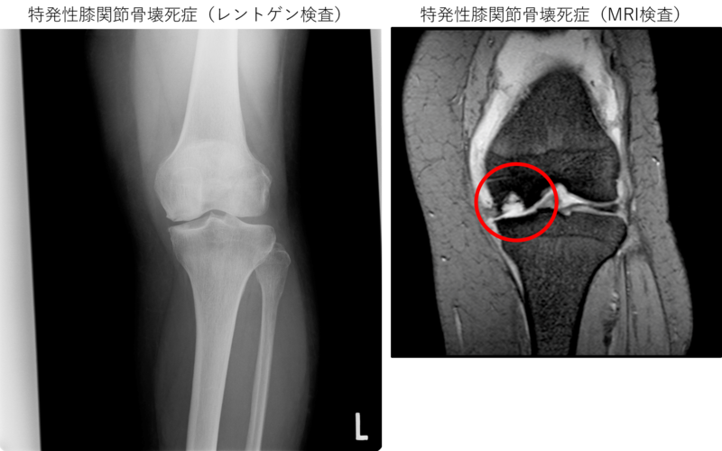
特発性膝関節骨壊死症の患者さんは、急激な強い痛みを感じて病院を受診されますが、レントゲン(X線)検査を行っても、原因は分からないことが多いです。強い痛みがあるにもかかわらず、変形性膝関節症のように軟骨が減っているなどの異常がみられないため、病気が発見されない可能性があります。
進行して骨の中が空洞になってくるとレントゲン検査で確認することができますが、骨の壊死が始まったばかりの初期の段階では、診断がつきにくいことが特徴です。
MRI検査では、骨の中の壊死している部分をはっきりと見ることができます。
あまりにも膝の痛みが強くて病院に行ったのに、レントゲン検査で異常がないといわれた場合には、MRI検査を受けてみることも重要です。レントゲン検査だけを受けて異常が見つからず、痛み止めを処方されるだけで帰されてしまったという患者さんもいらっしゃいます。そういった場合には、MRI検査を受けられる病院にかかり、ようやく診断がつくというケースが多いです。

特発性膝関節骨壊死症は、非常に強い痛みがあることから、安静にしておくことが大切です。変形性膝関節症の患者さんは、筋力を弱らせないように運動療法を行いますが、特発性膝関節骨壊死症の場合は無理して運動をする必要はありません。痛みを我慢して仕事や運動をしないようにしてください。
特発性膝関節骨壊死症の治療では、強い鎮痛剤をしっかりと使って痛みをとることが重要です。膝の痛みが非常に強く、一般的な痛み止めでは効果が充分ではないことが多いためです。強力な作用がある麻薬系の鎮痛剤を使用して、痛みを抑えます。
壊死した骨が体内に吸収されて、骨のなくなった部分が陥没している場合は、手術を検討します。骨切り術や、人工関節の手術など、変形性膝関節症と同じように手術を行います。
・高位脛骨骨切り術…骨を切ってO脚からX脚に矯正する手術。
・人工膝関節置換術…人工関節に置き換える手術。
(変形性膝関節症の治療について、詳しくは記事3『変形性膝関節症の治療の選択肢』、記事4『変形性膝関節症の手術のひとつ、人工膝関節置換術とは?』をご覧ください)

特発性膝関節骨壊死症は、軽いものであれば自然に壊死の部分が回復して、骨が治っていくこともあります。初期の段階では運動療法などを行わず、安静にしたほうがよいでしょう。骨が回復してくれば、痛みもとれて、普段通りの生活に戻ることができます。
しかし、誤って変形性膝関節症と診断された患者さんが、無理して運動療法を行っていると、骨壊死が悪化してしまう恐れがあります。正確な診断と、経過をしっかりみていくことが大切になります。
特発性膝関節骨壊死症であることが分かったら、最初は安静にし、薬物治療で痛みをとります。そのあと、変形が進んでいくか、自然に治っていくか経過をみて、骨が回復してくれば薬の量を減らしていきます。悪化しているようであれば、手術療法を検討します。
治療中は定期的な通院が必要です。最初は1~2週間に1回通院していただき、痛みの様子や薬の効き具合を確認します。状態が安定してくれば、1か月に1回、3か月に1回など、通院の間隔を延ばしていきます。鎮痛剤が効けば、1~2か月で痛みが軽くなってくることが多いです。

特発性膝関節骨壊死症がみられる患者さんの中には、痛みを我慢しているうちに変形が進み、骨が陥没してしまったという方が少なくありません。そういった患者さんに、いつ頃から痛みがあるのか尋ねると、「5~6年前から痛い。痛み止めを使って我慢していた」とおっしゃることがあります。このように、正しい診断がつかないまま我慢しているうちに、症状が悪化してしまう患者さんもいらっしゃいます。
特発性膝関節骨壊死症の可能性が考えられたら、痛みを我慢せず、病院でよく相談することが大切です。そして、レントゲン検査ではなくMRI検査を受けることで、病気の早期発見につながります。
特発性膝関節骨壊死症を発見するためには、MRI検査が必要です。ただし、特発性膝関節骨壊死症を発症して間もないときは、痛みが出ているにもかかわらず、MRI検査でも異常が発見されないことがあります。
当院では、特発性膝関節骨壊死症の可能性が考えられたら、少し時間をおいてMRIを撮り直しています。異常がないのに強い痛みがあるという患者さんについては、特発性膝関節骨壊死症の可能性も考えて、さらに詳しく調べることが重要だと考えています。

特発性膝関節骨壊死症は、雑誌やテレビなどではあまり取り上げられず、まだよく知られていない病気です。そのため、正しい診断がつかないまま症状が悪化してしまい、あとで特発性膝関節骨壊死症だったと分かるケースもあります。初期の段階では発見されにくい病気ですが、まずはしっかりと診断をつけてもらうことが大切です。
膝の調子が何だかおかしいと感じたら、まずはお近くの整形外科でご相談ください。それでも症状がよくならないということであれば、主治医の先生に紹介状を書いていただいて、MRI検査が実施可能な病院を受診するとよいでしょう。
国立国際医療センター 整形外科 診療科長
「変形性膝関節症」を登録すると、新着の情報をお知らせします
本ページにおける情報は、医師本人の申告に基づいて掲載しております。内容については弊社においても可能な限り配慮しておりますが、最新の情報については公開情報等をご確認いただき、またご自身でお問い合わせいただきますようお願いします。
なお、弊社はいかなる場合にも、掲載された情報の誤り、不正確等にもとづく損害に対して責任を負わないものとします。
「受診について相談する」とは?
まずはメディカルノートよりお客様にご連絡します。
現時点での診断・治療状況についてヒアリングし、ご希望の医師/病院の受診が可能かご回答いたします。