腹部大動脈瘤とは、腹部の大動脈の一部が瘤状に膨れる病気です。自覚症状がない場合が多く、前触れのないまま瘤が破裂することもあります。今回は、腹部大動脈瘤の症状や破裂予防のための治療法について、横須賀市立うわまち病院 心臓血管外科部長の安達晃一先生にお話を伺いました。
※「横須賀市立うわまち病院」は、 2025年3月より「横須賀市立総合医療センター」に名称変更しています。
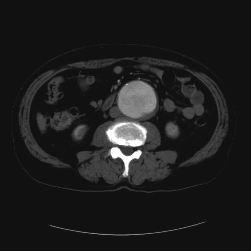
大動脈とは、体のなかでもっとも太い血管であり、全身に血液を送り出す動脈の幹です。お腹に位置する大動脈の直径は通常2㎝ほどです。その大動脈の一部が直径3㎝以上の瘤状に膨れたものを、腹部大動脈瘤といいます。腹部大動脈瘤の多くは、腎動脈*よりも下の位置に発生します。
腎動脈…腎臓に血液を送る動脈であり、大動脈から出ている。
瘤が大きいほど血管の壁は引き伸ばされた状態になり、破裂しやすくなります。腹部大動脈瘤が破裂した場合、突然死することもあります。なお、胸部に位置する大動脈に瘤ができた場合は、胸部大動脈瘤といいます。
腹部大動脈瘤の形には、大きく紡錘状瘤と嚢状瘤の2種類があります。下の図のように、紡錘状瘤とは大動脈が紡錘状の瘤になったものです。嚢状瘤とは大動脈瘤の一部が飛び出すように瘤になったものです。
嚢状瘤は紡錘状瘤よりも局所的に圧力がかかっているため、破裂しやすいといわれています。しかし、破裂する確率は形だけでなく直径も大きく関係しています。たとえば、瘤の直径が5㎝を超えると破裂する確率が高くなります。その場合、瘤の形状に関わらず、早急に治療を受けることをおすすめします。
腹部大動脈瘤を発症する主な原因として、動脈硬化が挙げられます。その他にも、遺伝や慢性呼吸器疾患、喫煙なども関係することがわかっています。
腹部大動脈瘤の主な原因は動脈硬化です。動脈硬化によって血管の内側の壁がもろくなることによって発症します。そのため、発症しやすい年齢は60歳から70歳台で、なかでも動脈硬化の原因となる病気(高血圧など)を多く持っている方の場合に腹部大動脈瘤を発症しやすいといわれています。
性別でみると、女性ホルモンであるエストロゲンには動脈硬化の進行を抑えるはたらきがあることにより、女性に比べ男性は動脈硬化が進行しやすいといえます。結果的に、男性のほうが腹部大動脈瘤を発症しやすく、実際に欧米の調査では、男性は女性の3倍から4倍の確率で腹部大動脈瘤を発症するという結果もでています。
発症する確率はまれですが、感染性腹部大動脈瘤といい、感染によって発症するものもなかにはあります。血管の壁に潰瘍*などの異常を起こしている場所が細菌感染を起こし、その細菌が繁殖することで感染性腹部大動脈瘤を発症します。
潰瘍…粘膜や皮膚の表面が炎症を起こしてくずれることでできた傷が、深くえぐれたようになった状態。
腹部大動脈瘤は破裂しない限り患者さんに自覚症状はほぼなく、また破裂の前触れもほぼないと思われます。まれに、瘤が腸管や十二指腸を圧迫することで、食べたものがうまく腸を通らないといった症状が現れることはあります。
一方、腹部大動脈瘤が破裂すると、激しい腹痛や腰痛などが現れます。なかには意識を喪失する患者さんもいらっしゃいます。そのため、なんとなく腹部や腰が痛むというような場合であれば、腹部大動脈瘤破裂である可能性は低いといえます。なお、腹部大動脈瘤が破裂した際の症状と似ている病気としては、尿路結石*が挙げられます。
尿路結石…尿管に結石が発生する病気。症状としては、腹部や腰の強い痛みが挙げられる。

先に述べたように、破裂していない腹部大動脈瘤の場合、患者さんの自覚症状はほぼありません。そのため、腹部大動脈瘤は、違う病気を調べるための超音波検査やCT*検査、MRI*検査、もしくは健康診断や人間ドックなどでみつかることが多いです。たとえば、心臓の超音波検査を受けた際や整形外科でMRI検査を受けた際などに腹部大動脈瘤がみつかり、当院を訪れる患者さんもいらっしゃいます。
CT検査…エックス線を使って身体の断面を撮影する検査。
MRI検査…磁気を使い、体の断面を写す検査。
血管は常に内側から圧力がかかっている状態です。そのため、腹部大動脈瘤は治療をしない限り、大きくなることはあっても、小さくなることはありません。そして、腹部大動脈瘤の直径が5㎝以上になった場合には、破裂予防のための治療が必要です。
腹部大動脈瘤の破裂を予防する治療法は、ステントグラフト挿入術と人工血管置換術の2種類があります。また、血圧が高い患者さんは食生活などを変え血圧を下げたり、喫煙者の方は禁煙したりするなど生活習慣を改善することも大切です。
ステントグラフトとは人工血管にステントという金属でできたバネを取り付けたもので、腹部大動脈瘤のなかにこのステントグラフトを挿入し留置することで瘤のなかに血液が流入することを防ぐ治療法をステントグラフト挿入術といいます。
まず、カテーテル(医療用の管)を血管のなかに挿入するため、脚の付け根にある大腿動脈を3㎝から4㎝の皮膚切開で露出します。その後、大腿動脈からカテーテルを腹部大動脈瘤まで進めていき、ステントグラフトを瘤の内部に留置します。
開腹歴のある患者さんは、過去に手術を行った部分に癒着がみられることがあります。再度回復手術をするとなると癒着を剥がす必要がありリスクが高いため、ステントグラフト挿入術が適しているといえます。
しかし、ステントグラフト挿入術の適応となるかどうかは、患者さんの血管の形状に左右されます。たとえば、血管の屈曲が強い方や細い方はカテーテルを上手く進めることができない可能性があります。また、年齢が若い患者さんほど加齢と共に血管の形が変化し、ステントグラフトと合わなくなってしまうことがあるため、余命がある程度長い患者さんにはお勧めしないこともあります。なお、ステントグラフト挿入術は造影剤を血管に注入し、透視をしながら行います。腎臓が悪い患者さんには負担になることがあります。
人工血管置換術とは、腹部大動脈瘤を切除して人工血管を縫い付ける治療法で、ステントグラフト挿入術よりも古い歴史があります。患者さんの腹部を切開し、大動脈瘤の上と下で血液の流れを一次的に遮断して、瘤を切開し、瘤の部分を人工血管と置換することで、腹部大動脈瘤の破裂を予防します。
人工血管置換術は、ステントグラフト挿入術では対応できない形の血管を持っている患者さんにも対応できます。また、造影剤を使用しないため、腎臓が悪い患者さんは人工血管置換術の適応となります。
ステントグラフト挿入術の場合、術後の傷跡は小さく、4㎝から5㎝ほどの傷が2箇所です。そのため、目立ちにくく術後の回復も早くなります。また、傷跡から感染を起こすリスクが低いといえます。
一方、ステントグラフトの隙間から血液が漏れて再び大動脈瘤内に血液が入ってしまったり(エンドリーク)、ステントグラフトが血圧に負けてずれてしまったり(マイグレーション)する点がデメリットとして挙げられます。
人工血管置換術の場合、人工血管がはずれるといった可能性は低いと考えられます。ステントグラフト挿入術で懸念されるような、エンドリークやマイグレーションを起こす心配はありません。また、手術時に造影剤を使用しないため、腎機能に課題がある患者さんでも受けられる点がメリットといえます。
しかし、腹部を15㎝ほど切開する必要があるため、ステントグラフト挿入術に比べ手術時の出血量が多くなり、術後の回復にも時間がかかります。また、肺炎などの感染症を発症するリスクも高くなります。

ステントグラフト挿入術の場合、ステントグラフトという異物を血管のなかに入れるため、術後に高熱がでる患者さんがいます。しかし、ほとんどの患者さんの場合、熱は自然と下がります。また、体内に挿入したステントグラフトや人工血管が感染を起こすことがあります。感染を起こした場合は、ステントグラフトや人工血管を入れ替える治療が必要です。
腹部大動脈瘤は破裂すると、最悪の場合、命にかかわることがある病気です。できれば定期的に検査を受け、また破裂するリスクが高いと判断された場合には早急に治療を受けることをおすすめします。
腹部大動脈瘤の治療では、治療法それぞれのメリットとデメリットを考慮しながら、患者さんお一人おひとりの状態に適した治療法を選択することが大切です。
横須賀市立総合医療センター 心臓血管外科 部長
横須賀市立総合医療センター 心臓血管外科 部長
日本心臓血管外科学会 心臓血管外科修練指導者・心臓血管外科専門医日本外科学会 外科専門医・指導医
心臓血管外科全般を専門とし、2016年9月より横須賀市立総合医療センター(旧・横須賀市立うわまち病院)心臓血管外科部長を務める。自治医科大学卒業生として秋田県の僻地病院勤務の後、自治医科大学附属さいたま医療センター心臓血管外科に入局。大動脈疾患や弁膜症、虚血性心疾患などの数多くの重症、難易度の高い手術症例を経験し、若手の指導医にも精力的である。インフェクションコントロールドクター、NSTディレクターとして病院内の総合的な役割も担ってきた。湘南鎌倉総合病院心臓血管外科部長、春日部中総合病院心臓血管外科部長を歴任し、2009年には横須賀市立総合医療センター(旧・横須賀市立うわまち病院)心臓血管外科も開設を手掛けた。今回の横須賀赴任は二回目で、赴任後は積極的に緊急手術を受け入れ、急速に手術症例が増加している。現在も、自治医科大学附属さいたま医療センターおよび関連施設で手術指導をしている。近年は心臓手術の約半数で小開胸アプローチによる低侵襲手術を実施している。
安達 晃一 先生の所属医療機関
「大動脈瘤」を登録すると、新着の情報をお知らせします
本ページにおける情報は、医師本人の申告に基づいて掲載しております。内容については弊社においても可能な限り配慮しておりますが、最新の情報については公開情報等をご確認いただき、またご自身でお問い合わせいただきますようお願いします。
なお、弊社はいかなる場合にも、掲載された情報の誤り、不正確等にもとづく損害に対して責任を負わないものとします。
「受診について相談する」とは?
まずはメディカルノートよりお客様にご連絡します。
現時点での診断・治療状況についてヒアリングし、ご希望の医師/病院の受診が可能かご回答いたします。