甲状腺に炎症が起き、首の前側に腫れや痛みが現れる甲状腺炎。この中でも、病気が急に起こり、腫れに化膿を伴うものを「急性化膿性甲状腺炎」といいます。
急性化膿性甲状腺炎の患者さんの中には、小児期などに初めて炎症を起こし、その後再発を繰り返しているという方もいらっしゃいます。このような場合、食道の入り口の左右にある凹み「梨状窩(りじょうか)」という部分に、先天的な異常が認められることが多々あります。本記事では、反復する急性化膿性甲状腺炎の原因となっている「下咽頭梨状窩瘻(かいんとうりじょうかろう)」について、発見から解明に至るまでの歴史と最新治療を隈病院院長の宮内昭先生にお話しいただきました。
急性化膿性甲状腺炎とは、細菌(バクテリア)や真菌(カビ)に感染することにより甲状腺とその周囲に急性の炎症が起こる疾患です。12歳以下の子どもに多く、40年以上前には多くの謎をはらんだ疾患として取り扱われていました。
そもそも甲状腺は、以下に掲げるように、感染を起こしにくい特徴を持っている内分泌腺です。そのため「本当に甲状腺に化膿性炎症は起こりうるのか」といった疑問が出てくるのです。
●外の世界から隔絶されている:甲状腺は、体外、消化管、呼吸器、泌尿器など繋がっていない内分泌腺。
●感染に抵抗性がある:血流とリンパ流が豊富であり、さらにヨード含有量が高いため
こういった特徴から、なんらかの基礎的な異常がなければ甲状腺の細菌・真菌感染は起こりがたいのではないかと考えられます。
しかし、仮に甲状腺に化膿性炎症が起こっているとすれば、それは(1)甲状腺の中と周囲のどちらに起こっているのか、(2)感染経路、(3)基礎的異常とは何かといった疑問も生じます。
時を1977年にまでさかのぼり、上述した「謎」をひとつずつ紐解いていきましょう。
急性化膿性甲状腺炎の主な症状には、甲状腺の腫れ、ひどい痛み、発熱、飲食や唾を飲み込むときに痛みが強くなる(嚥下痛)などがあります。腫れは90%以上が左側に起こります。
1977年、前頸部(首の前側)の左側に腫れと疼痛を繰り返すと訴え、18歳の女性が当院を受診されました。この方は6歳の時から左前頸部の腫れや疼痛、発熱、嚥下痛があり、複数回にわたり切開で膿を出して炎症を抑えていました。


(左前頸部に多数の切開瘢痕 症例写真提供:宮内昭先生)

(梨状窩から伸びる瘻孔 症例写真提供:宮内昭先生)
当時はまだ超音波検査やCT検査といった技術はありませんでした。甲状腺シンチグラフィでは、甲状腺の左葉が右葉より小さくなっていました。バリウムを用いた咽頭透視により検査したところ、咽頭の左側の梨状窩(りじょうか)に、正常のヒトにはない管状の瘻孔(ろうこう)がみつかりました。
※梨状窩とは:食道の入口付近の左右にある凹み。
※瘻孔とは:臓器や組織にできた管状の穴。炎症、外傷、手術などが原因でできる場合と先天性(生まれつき)にできる場合がある。
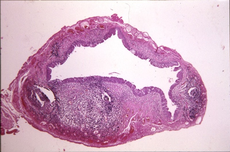
この瘻孔を手術で摘出したところ、この瘻孔は先天性の内瘻(体の表面ではなく消化管などの体内と繋がっている瘻孔)と判断され、さらに甲状腺が炎症により破壊された痕跡も認められました。

(瘻孔の断面の病理組織。瘻孔の内面は食道や気管の内面に似た粘膜で被われている。 画像提供:宮内昭先生)
このほかに、左前頸部に排膿が起こっている10歳の女児も受診されています。梨状窩には、写真のように細い瘻孔が認められました。

(左前頸部に炎症があり、すでに排膿がみられる。 症例写真提供:宮内昭先生)

(梨状窩から伸びる細い瘻孔 写真提供:宮内昭先生)
1979年、私達は大阪大学第2外科と隈病院の共同研究として医学雑誌『ランセット』(The Lancet)に7例の症例を報告し、瘻孔が感染経路であるとし、この内瘻を下咽頭梨状窩瘻(Pyriform Sinus Fistula)と命名しました。
(Takai S, Miyauchi A, et al. Internal fistula as a route of infection in acute suppurative thyroiditis. Lancet 1: 751-2, 1979.)
下咽頭から甲状腺に向かって走る先天性の瘻孔を通して、咽頭からもたらされた細菌感染が、甲状腺やその周囲に広がるということを明らかにしたのです。
・下咽頭梨状窩瘻は子どもに好発する-瘻孔は左側に多いことを報告
つづいて1981年には、下咽頭梨状窩瘻は小児に好発し、前頸部の左側に多くみられること、高頻度で炎症が再発することを報告し(※1)、1990年には瘻孔を摘出することで再発はしなくなるとの発表をしました。(※2)
※1 Miyauchi A, et al. Piriform sinus fistula. A route of infection in acute suppurative thyroiditis. Arch Surg 116: 66-9, 1981.
※2 Miyauchi A, et al.: Piriform sinus fistula. An underlying abnormality common in patients with acute suppurative thyroiditis. World J Surg 14: 400-5, 1990.
梨状窩瘻が左側に多い原因は今なお未解明ですが、一般にヒトは心臓が左にあり、したがって胎生期には頸部にあった大動脈弓は左にあるので、頸部の下部は左右非対称の構造をしていることに関係していると思われます。私は、おそらく右胸心の患者さんを多数調べると、梨状窩瘻は右側に多くなるものと仮説を立てています。
ここまでに、下咽頭梨状窩瘻の解明に関する歴史と過去の症例写真を紹介してきましたが、現在では検査法も進歩し、その精度も向上しています。
下咽頭梨状窩瘻が疑われるときは、原則としてバリウムを飲んでいただき、咽頭食道透視のレントゲン検査を行い、瘻孔を確認して診断をつけます。
お子さんにも行いやすいトランペット法によるCTスキャンも選択肢としては存在します。
トランペット法とは、私どもが考え出した方法ですが、注射器の外套を口にくわえてもらい、風船を膨らませるように息を吐いて、空気で瘻孔を描出するものです。瘻孔の検出率は咽頭透視のほうが高率ですが、トランペット法CTスキャンでは瘻孔の走行経路の解剖学的な位置関係がよくわかるという大きな利点があります。また、小児でもあまり抵抗なく上手に検査を受けていただけます。
(Miyauchi A, et al.: Computed tomography scan under a trumpet maneuver to demonstrate piriform sinus fistulae in patients with acute suppurative thyroiditis. Thyroid 15: 1409-1413, 2005.)
なお、バリウム製剤の代替として使用されることのあるガストログラフィンは、コントラストが悪いので、下咽頭梨状窩瘻の診断のために確認する必要がある細い瘻孔の描出には不十分であると考えます。
なぜ一部の人に瘻孔ができるのか、その原因は解明されていません。おそらく、胎生期の頸部の発生過程において、C細胞(甲状腺の細胞の一種、カルシトニンというホルモンを分泌。この細胞からできたがんが「甲状腺髄様がん」)が咽頭から甲状腺に向かって移動してくる際に、誤って引き伸ばされた咽頭粘膜が遺残したものではないかと解釈しています。梨状窩瘻が甲状腺側葉の上1/4の背面に入り、甲状腺内でしばしば多数に枝分かれすること、このような部位には多くのC細胞がみられることおよび解剖学的位置関係がその根拠です。
(Miyauchi A, et al. Piriform sinus fistula and the ultimobranchial body. Histopathology 20: 221-27, 1992) 参照:http://www.ncbi.nlm.nih.gov/pubmed/1563708 (PubMed)
冒頭で外界と隔絶された甲状腺の感染は、何らかの基礎的な異常がなければ起こり得ないと述べました。この基礎的異常には、局所的なものと全身的なものがあります。
局所的な異常の中でも注意が必要なのは、下咽頭梨状窩瘻のほか、嚢胞や壊死を伴う
甲状腺腫瘤,魚骨などの食道から甲状腺への穿通、頸部の食道がんの穿通(穴が開くこと)が挙げられます。壊死した部分や穿通が生じた部分から細菌感染がもたらされることがあるのです。
嚢胞や壊死を伴う甲状腺腫瘤に感染が加わりやすくなる、全身性の異常としては、糖尿病、ステロイドホルモンの服用、HIV感染や感染巣の存在など様々な全身性の疾患や、臓器移植、抗がん剤治療なども挙げられます。
下咽頭梨状窩瘻と診断された場合、一般的には瘻孔を摘出する手術を行うこととなります。ただし、炎症を起こした後ですので、声帯の筋肉を支配する反回神経を損傷しないよう、瘻孔を完全に摘出するには豊富な経験と技術を要します。反回神経を傷つけてしまうと、声帯麻痺による嗄声(かすれ声)などの合併症が残ってしまうこともあります。また、瘻孔を完全に摘出できないと炎症は再発してしまいます。残念ながら瘻孔の不完全摘出による炎症の再発はかなりの頻度でみられます。
1977年から2011年にかけて、隈病院と大阪大学医学部附属病院、香川医科大学附属病院などがまとめたデータによると、梨状窩瘻が誘因となった急性化膿性甲状腺炎154例のうち、他院での術後に再発した症例は18例にものぼっています。
この再発例の数は瘻孔の摘出術の難しさを物語っており、経験を積んだ優秀な甲状腺外科医が執刀した場合でも、完全摘出をできないことはままあります。
瘻孔の終末部は甲状腺の側葉の後ろ側に付着する、もしくは貫通するように通っています。この瘻孔を摘出するには3つのアプローチ法があり、症例により使い分けをしています。初期の手術では炎症の後の瘢痕組織をさかのぼって瘻孔を探すApproach Aを行いましたが、その後は瘻孔の出口に直接到達するApproach Bに変更しました。瘻孔の出口はほぼ一定の場所にあるから、このほうが容易です。しかし、これでも瘻孔を発見できない場合には、下咽頭収縮筋を甲状軟骨の外縁で切開して梨状窩に到達し、その先端部に瘻孔を見い出すNonomura法(Approach C)を行います。この時には、梨状窩の粘膜を切開しないように注意して瘻孔を見い出し、根元で結紮し、瘻孔を摘出します。

(画像提供:宮内昭先生)
●アプローチA(逆行法) 30例
●アプローチB(宮内法) 44例
●アプローチC(Nonomura法) 15例
●一過性声帯麻痺 2例
●手術創感染 3例
※瘻孔を発見できなかった初期の2例を除き、術後の再発はなし
前述のように、瘻孔摘出術は難易度が高く、深刻な合併症(声帯麻痺など)のリスクも低くはないため、当院では2007年から「化学焼灼療法」という新たな治療法を日本で初めて導入しました。
化学焼灼療法とは、韓国、ソウル大学Kim教授によって開発された方法であり、全身麻酔して直達喉頭鏡を口から挿入して梨状窩に達してここで梨状窩瘻の開口部を見い出し、薬剤により瘻孔の開口部を焼灼して、焼いた粘膜が治るときに瘻孔が閉鎖するという治療法です。

(画像提供:宮内昭先生)
成功率は現時点では9割には達していませんが、声帯麻痺などの深刻な合併症は起こっておらず、首に手術の痕跡が残らないというメリットがあります。また、手術後に再発した場合でも施行できることも化学焼灼療法の利点です。
(Miyauchi A, et al.: Evaluation of Chemocauterization Treatment for Obliteration of Pyriform Sinus Fistula as a Route of Infection Causing Acute Suppurative Thyroiditis. Thyroid 19: 789-793, 2009.)
ただし、確実に瘻孔を閉鎖するためには引き続き工夫をしていかねばなりません。表に示すように化学焼灼に電気での焼灼を加えてみましたが、閉塞率は向上しませんでした。治療成績を改善し、成功率を100%に近づけることが、今後の下咽頭梨状窩瘻化学焼灼療法の課題といえます。
医療法人神甲会 隈病院 名誉院長
医療法人神甲会 隈病院 名誉院長
日本外科学会 指導医・外科専門医日本内分泌外科学会 内分泌外科専門医
甲状腺・副甲状腺疾患の診療・研究に40年以上携わってきた。特に甲状腺がんの診断と治療を専門とし、この手術にともなう反回神経麻痺に対する頸神経ワナ・反回神経吻合による再建を日本で最初に考案・施行した。また急性化膿性甲状腺炎の原因となる一種の発生異常の存在を世界で初めて発見し、下咽頭梨状窩瘻と名付けた。カルシトニンのダブリングタイム(Ct-DT)が髄様がんの予後因子であることを世界で初めて報告し、最近ではサイログロブリンのダブリングタイム(Tg-DT)が乳頭がんの強力な予後因子であることを見出している。最近、小さい甲状腺乳頭癌が世界的に増加し、その取扱いが問題となっている。宮内の提唱により1993年から隈病院では世界で初めて低リスクの甲状腺微小乳頭癌に対して、非手術経過観察を行っており、大多数の微小癌は進行しないこと、少し進行してもその時点で手術を行えば手遅れとはならないこと、隈病院のような専門病院で手術を行っても、手術群の方が経過観察群より声帯麻痺などの不都合事象が多いことを明らかにした。この成果は2015年版アメリカ甲状腺学会の甲状腺腫瘍取扱いガイドラインに大きく取り上げられた。
宮内 昭 先生の所属医療機関
本ページにおける情報は、医師本人の申告に基づいて掲載しております。内容については弊社においても可能な限り配慮しておりますが、最新の情報については公開情報等をご確認いただき、またご自身でお問い合わせいただきますようお願いします。
なお、弊社はいかなる場合にも、掲載された情報の誤り、不正確等にもとづく損害に対して責任を負わないものとします。
「受診について相談する」とは?
まずはメディカルノートよりお客様にご連絡します。
現時点での診断・治療状況についてヒアリングし、ご希望の医師/病院の受診が可能かご回答いたします。