疾患啓発(スポンサード)

腹膜偽粘液腫の診断――卵巣腫瘍と間違われやすい理由も解説

腹膜偽粘液腫の診断――卵巣腫瘍と間違われやすい理由も解説
合田 良政 先生

国立国際医療センター 外科

合田 良政 先生

目次
項目をクリックすると該当箇所へジャンプします。

この記事の最終更新は2020年05月11日です。

腹膜偽粘液腫(ふくまくぎねんえきしゅ)とは、主に虫垂(ちゅうすい)にできた腫瘍(しゅよう)が破裂し、腹腔内(ふくくうない)にゼリー状の粘液が散らばる病気です。腹膜偽粘液腫は、女性の場合、卵巣腫瘍に間違われやすいといわれています。それはなぜなのでしょうか。

今回は、腹膜偽粘液腫の治療に取り組んでいらっしゃる国立国際医療研究センター病院の合田(ごうだ) 良政 (よしまさ)先生に、腹膜偽粘液腫の診断とともに、卵巣腫瘍と間違われやすい理由についてお話しいただきました。

※「国立国際医療研究センター病院」は、 2025年4月より「国立国際医療センター」に名称変更しています。

腹膜偽粘液腫は発見が難しく、見過ごされる可能性の高い病気と考えられます。それは病気がまれであるために、私たち消化器外科医や産婦人科医でさえ、病気を認識していないケースがあるからです*

その一方、発症初期には自覚症状が現れない場合も少なくありません。また、非常にゆっくりと進行するため、症状から病気を自覚することが難しく、受診にいたらない場合も多いと考えられます。

*イギリスの疫学調査では、年間の発生頻度は、100万人あたり1人程度と報告されている。

腹膜偽粘液腫は、時間の経過とともに腹膜に広がる粘液の量が増えるため、発症から経過するほど重症化する可能性が高くなります。そのため、発見が早いほど粘液の量を抑えることができ、重症化を防ぐことにつながるといえます。

患者さんが自ら受診される場合、その多くは、お腹が張ることを訴えて受診されます。腹部の触診によって腹水の貯留を疑う場合には、エコー検査によって、腹水がたまっていないか確認します。腹水を認める場合にはCT検査を行います。このCT検査によって腹膜偽粘液腫の特徴的な所見が認められることで、病気が発見されることがあります。また、虫垂炎卵巣腫瘍などの症状で受診した際に、CT検査によってこの病気が発見されることもあります。

なかには、無症状であっても、何らかの検診におけるCT検査で偶然みつかる患者さんもいらっしゃいます。

CT
写真:Pixta

腫瘍が破裂する前に発見されることも

腫瘍が破裂する前に発見されるケースもあります。もしも破裂する前に腫瘍が発見されれば、治療によって破裂を防ぐことが可能になります。

ただし、破裂していない場合、進行すると現れる症状がみられないために、症状から受診にいたることは難しいといえます。この場合、私が診療している限り、何らかの病気や検診によって受けたCT検査で偶然発見されることが多いです。

腹膜偽粘液腫の診断は、主にCT検査の結果に基づき行われます。CT検査では、粘液の貯留を示す典型的な腹膜偽粘液腫の所見である “ホタテ貝状変形”・“ケーキ様大網”の有無を確認します。

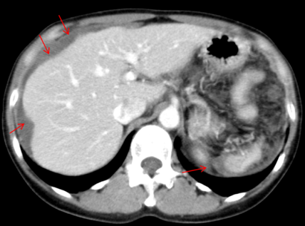
  • ホタテ貝状変形

肝臓や脾臓(ひぞう)の表面がでこぼこと波打った状態を指し、粘液であることを示唆しています。

ホタテ貝状変形の様子
ホタテ貝状変形の様子
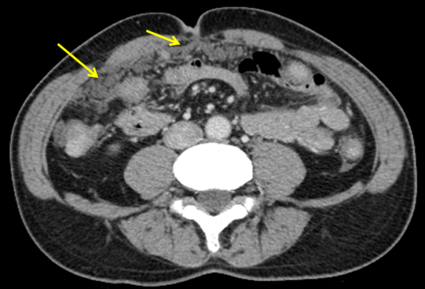
  • ケーキ様大網

脂肪組織を主体とする腹膜の一部(大網)がケーキのように硬くなる様子を指します。

ケーキ様大網の様子
ケーキ様大網の様子

専門家であれば、これらCT検査の所見から、この病気を診断することが可能です。たとえば、肝臓や脾臓の表面にホタテ貝状変形を認める場合には、虫垂が腫れて大きくなっていないかを確認します。女性の場合、虫垂がこのように腫大していない場合には、卵巣の状態を確認し、腫れて大きくなっていないかを確認していきます。

また、診断の際には、小腸および小腸間膜、肝十二指腸間膜に粘液の貯留の有無や程度を確認することによって、腹膜の切除による根治的治療が可能かどうかを判断することも重要です。

腹水を腹腔穿刺(ふくくうせんし)することもあります。腹腔穿刺とは、腹腔に刺した細いカテーテルから腹水を吸引し、腹水の成分を調べる検査です。しかし、典型的な腹膜偽粘液腫の場合、腹水の成分がゼリー状の粘液になるため、通常の細いカテーテルではうまく吸引することができません。このように、腹水をうまく吸引できない場合にも、この病気を疑います。

ほかの病気との鑑別も

粘膜偽粘液腫は、リンパ節や血行性の転移をすることは、ほぼないといわれています。そのため、これらを認める場合には、ほかの病気の可能性を考え、検査を行います。また、胃がん大腸がん膵臓(すいぞう)がん卵巣がんなどを原発巣とした腹膜播種(ふくまくはしゅ)*と間違われるケースもあるため、鑑別のための検査を行うこともあります。

*腹膜播種:がんが進行し、がん細胞が腹腔内に散らばった状態を指す

腹膜偽粘液腫は、女性の場合、卵巣腫瘍の診断を受けて手術となることがあります。たとえ原発巣が虫垂であったとしても、粘液が腹膜を通して卵巣に広がっていくと、卵巣内に粘液が充満することで卵巣が腫れて大きくなります。このようなケースでは、虫垂を確認することがなければ、卵巣の状態のみで卵巣腫瘍と診断されることがあります。

また、少ないですが、腫瘍が発生する原発巣が卵巣であるケースもあります。このようなケースでは、腹腔内に腫瘍細胞が広がっていたとしても、卵巣腫瘍が進行した結果と判断されることがあります。

このように腹膜偽粘液腫は、卵巣が腫れていることのみから卵巣腫瘍と誤って診断されるケースもあると考えられます。

腹膜偽粘液腫の診断のためには、CT検査が有効です。「お腹が張って苦しい」など何かしらの異常を訴えて患者さんは受診なさると思いますが、その際に腹水がたまっているようであれば、腹膜偽粘液腫も考慮しなければなりません。

さらに、CT検査などによってその腹水が粘液であることが分かった場合には、必ず虫垂を確認してください。虫垂が腫大している、虫垂に石灰化がある場合は、腹膜偽粘液腫の可能性があります。逆に、正常な虫垂が見えない場合も注意が必要で、虫垂腫瘍が破たんしていると原形をとどめておらず確認することができません。腹膜偽粘液腫は、早期発見によって、根治が見込める治療を受けることが可能になります。少しでも腹膜偽粘液腫を疑う場合には、腹膜偽粘液腫の治療を行う医療機関への紹介をおすすめします。

受診について相談する
「メディカルノート受診相談サービス」とは、メディカルノートにご協力いただいている医師への受診をサポートするサービスです。
まずはメディカルノートよりお客様にご連絡します。現時点での診断・治療状況についてヒアリングし、ご希望の医師/病院の受診が可能かご回答いたします。
  • 受診予約の代行は含まれません。
  • 希望される医師の受診及び記事どおりの治療を保証するものではありません。

    本ページにおける情報は、医師本人の申告に基づいて掲載しております。内容については弊社においても可能な限り配慮しておりますが、最新の情報については公開情報等をご確認いただき、またご自身でお問い合わせいただきますようお願いします。

    なお、弊社はいかなる場合にも、掲載された情報の誤り、不正確等にもとづく損害に対して責任を負わないものとします。

    「受診について相談する」とは?

    まずはメディカルノートよりお客様にご連絡します。
    現時点での診断・治療状況についてヒアリングし、ご希望の医師/病院の受診が可能かご回答いたします。

    • お客様がご相談される疾患について、クリニック/診療所など他の医療機関をすでに受診されていることを前提とします。
    • 受診の際には原則、紹介状をご用意ください。
    実績のある医師をチェック

    Icon unfold more