
肺高血圧症と聞くと、生活習慣病のひとつである「高血圧(高血圧症)」を連想する方もいるかもしれません。しかし肺高血圧症と高血圧症は発症のメカニズム、症状、患者背景、検査方法など、どの要因においても大きく異なります。そのため肺高血圧症と高血圧症はまったく別の疾患です。
では肺高血圧症とはどのような疾患なのでしょうか。肺高血圧症に詳しい、北海道大学大学院 医学研究院内科学講座 特任教授 辻野 一三先生にご解説いただきました。
肺高血圧症とは、肺の中を流れる血管の圧が高まり、その結果心臓に負荷がかかることから、右心不全を引き起こす疾患です。
肺高血圧症治療ガイドライン(2012年改訂版)では下記のように記載されています。
「肺高血圧症は様々な原因により肺動脈圧が持続的に上昇した病態で、右心不全/呼吸不全が順次進行する予後不良の難治性疾患として知られている」
http://www.j-circ.or.jp/guideline/pdf/JCS2012_nakanishi_h.pdfより引用
肺高血圧症は肺の血管の病気ですが、肺の血圧が上昇していることで心臓の右心室・右心房に負担がかかることから、病気の症状は心機能の低下によってもたらされると考えられます。
心臓は右側(右心房、右心室)と左側(左心房、左心室)に分かれています。右心房と右心室は、全身をめぐり戻ってきた血液を肺(肺動脈)へと押し出す役割を担っています。肺へ届いた血液は酸素と二酸化炭素の交換(ガス交換)が行われ、再び心臓(左心室・左心房)へ戻ったあと、また全身へ送られていきます。
正常の方では、この一連の流れがスムーズに進みます。しかし肺高血圧症の患者さんでは肺動脈の血圧が高くなっていることから、右心房・右心室から肺動脈へ血液を送るために通常より多くの力が必要になり、大きな負荷がかかります。そして肺動脈圧の高い状態が続くと右心房・右心室の機能が低下してしまいます。この状態が右心不全です。こうしたメカニズムによって、肺高血圧症の患者さんでは心不全が引き起こされる場合があります。
肺高血圧症と聞くと高血圧(高血圧症)を連想する方も多いかもしれません。両者には血管の病気であるという共通点はありますが、その病態は全く異なります。
肺高血圧症の方は肺動脈の血圧が高い病態であり、全身の血圧が高いわけではありません。そのため肺高血圧症を発症しているからといって、高血圧症であるわけではありません。むしろ肺高血圧症を発症している方では全身血圧が低い方も多くいらっしゃいます。
また高血圧症は生活習慣病であり、糖尿病、脂質異常症、喫煙といった要因との関連が知られていますが、これらの要因と肺高血圧症は基本的に関連がありません。
そして患者数も大きく異なります。厚生労働省より発表されている高血圧症患者数は1,010万800人※1であり、高血圧症は非常に多くの方が発症している病態であることがわかります。一方、肺高血圧症(肺動脈性肺高血圧症)の患者数は2,946人※2という報告もあり、罹患している方は高血圧症と比べると大幅に少ないです。
このように肺高血圧症と高血圧症は全く異なる病態なのです。
※1 厚生労働省 平成26年調査「患者調査」
※2 難病情報センター 特定疾患医療受給者証所持者数 平成26年度 肺動脈性肺高血圧症患者数 http://www.nanbyou.or.jp/entry/1356
肺高血圧症は症状があらわれにくい病態です。そのため発症初期に、症状から病気を発見することは非常に困難です。
自覚症状としては
・労作時呼吸困難(日常生活の動作で呼吸が苦しくなる)
・息切れ
・易疲労感(疲れやすい)
・動悸
・胸痛
・咳嗽(がいそう・咳のこと)
・腹部膨満感
などがありますが、いずれも軽度の肺高血圧では出現しにくいうえ、これらの症状は他の疾患を発症した際にもあらわれます。そのため上記の症状は肺高血圧症特有のものというわけではありません。また症状が出現したときにはすでに重度の肺高血圧が認められる場合が多いといえます。
病態が進行すると失神を引き起こすことがあります。そしてさらに悪化すると右心房・右心室が肥大して心臓の機能が更に低下し、右心不全による死亡に至ってしまいます。
肺高血圧症はこのように発見が難しく、最悪の場合には命を落とす可能性がある疾患です。そのため早期発見・早期治療が極めて重要です。

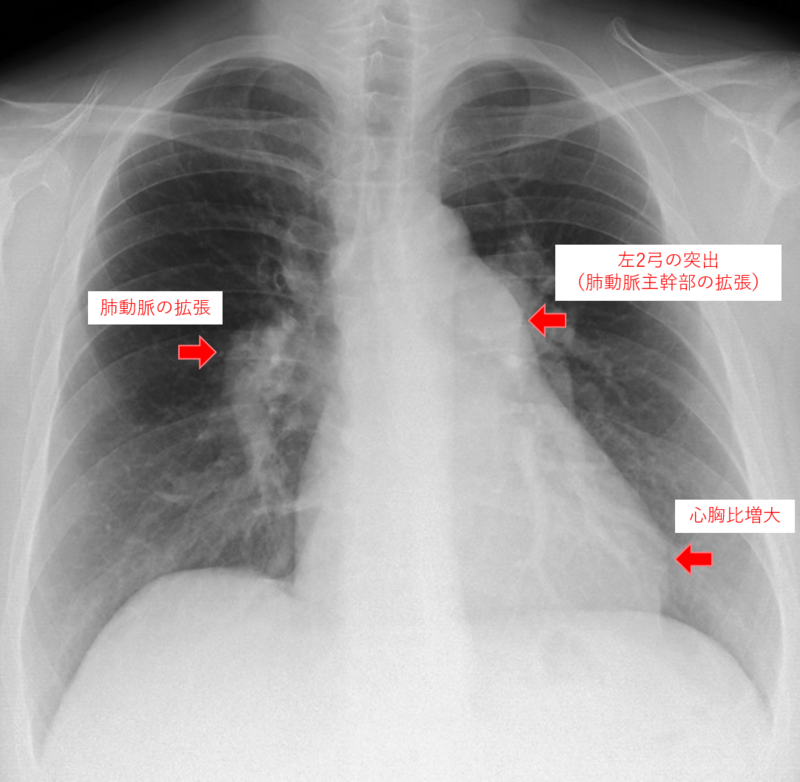
こちらは肺高血圧症患者さんの胸部レントゲン画像です。肺高血圧症による肺動脈および右心室・右心房の拡張による変化がみられます(矢印部分)。

▲右上:右室が左室を圧排、右下・左上:右心系の拡大
こちらは肺高血圧症の心臓MRI画像です。心臓MRIは肺高血圧症で最も負担がかかる心臓の右心室の評価に適した検査で、左心室や右心室の容積や、心筋量などから両心機能と右室肥大の評価ができます。この症例画像からは右心室の拡大と肥大が確認できます。
一般的には、肺の血管のなかが狭くなる(狭窄する)ことが原因で、血液が血管を通りにくくなり、血圧が上がり、肺高血圧症になります。
肺の血管が狭窄する原因はいくつかあります。
【肺血管の狭窄の原因となる例】
・膠原病(こうげんびょう)
膠原病(強皮症や混合性結合組織病など)は全身の組織に炎症や線維化を引き起こす疾患です。そうした症状のなかのひとつとして肺の血管に炎症や線維化が現れ、血管が狭窄する場合があります。
・血栓による塞栓(そくせん)
脚の血管などで形成された血栓(血液の塊)が、血流にのって右心室・右心房へ届き、その後に肺動脈へ到達して肺の血管に詰まって狭くなる場合があります。こうした血栓によって血液の流れが悪くなる(塞栓がおこる)ことでも肺の血圧が上がってしまいます。
・原因不明
肺高血圧症の中には、血管が狭窄してしまう原因が特定できない場合もあります。肺高血圧症発症の危険因子を有していないにもかかわらず肺血管が収縮する、肥厚するなどの症状がみられる場合は「特発性肺動脈性高血圧症」と呼ばれます。大まかに表すと、肺高血圧症患者さんのうち、半分以上はなんらかの危険因子を有しますが、残りの何割かは原因不明であるといわれています。
肺高血圧所はこうした様々な要因によって発症します。こうした発症要因の違いから肺高血圧症は5つに分類されており、発症原因によって治療法が大きく異なります。分類の詳細や、分類ごとの治療法はこちらの記事をご覧ください。
記事2『肺高血圧症の治療とは? 大きく変わりつつある肺高血圧症治療の進歩を解説』

肺高血圧症の罹患率を示す正確なデータは現状のところ存在しないといえます。
これまでにいくつか肺高血圧症の罹患率を示すデータが報告されてきましたが、そうした報告のなかには一部の専門的な病院のみで集められたデータによるものもあり、そうしたデータから日本全国の患者数を予想することは困難であるという声も挙がっています。そのため日本における肺高血圧症の罹患率として、明確に示されているものはまだありません。
一方、患者数については国より発表されているデータがよく用いられます。肺高血圧症のうち肺動脈性肺高血圧症と慢性血栓塞栓性肺高血圧症は国の指定難病に特定されていることから、患者さんには特定疾患医療受給者証が交付されています。この交付件数を調べることで患者さんの数を推測することができます。
平成26年度 特定疾患医療受給者証所持者数
肺動脈性肺高血圧症
2,946
慢性血栓塞栓性肺高血圧症
2,511
参考:難病情報センター 特定疾患医療受給者証交付件数 平成26年度 肺動脈性肺高血圧症患者数 http://www.nanbyou.or.jp/entry/1356
しかしこうしたデータも、実際に肺高血圧症でも交付を受けていない方がいることや、診断が確実でない症例が含まれている可能性があることから、日本における肺高血圧症の患者数を示す確実なデータとは言い切れない部分もあります。肺高血圧症の認知は近年徐々に広まりつつありますが、海外と比較すると日本ではまだまだ肺高血圧症の病態に関する認知や診断の正確さに遅れがみられるといえるでしょう。
しかしながら、この肺高血圧症に対する特定疾患医療受給者証交付件数は年々増加しています。これは疾患の発症が増加しているわけではなく、医療従事者の間で肺高血圧症の認知が向上してきたことが理由だと考えられています。
罹患者は20~30代の女性に多いとされています。これは膠原病の罹患者がそういった若い女性に多いことがひとつの理由になっていると考えられています。また肺高血圧症の発症にはホルモンが関係しているのではないかともいわれています。
無治療の場合の特発性肺動脈性肺高血圧症の平均余命は2.8年というデータがあります。しかし、これは約30年以上も昔のデータです。その後肺高血圧症を早期に発見し、治療をより早期に行おうという動きが高まり、検査技術も向上してきています。こうした背景から肺高血圧症の予後はさらに改善されていくことが予想されます。
▼肺高血圧症における治療方法の進歩についてはこちらの記事をご覧ください。
記事2『肺高血圧症の治療とは? 大きく変わりつつある肺高血圧症治療の進歩を解説』

肺高血圧症疑い、あるいは初期の段階ではまず診察、レントゲン検査、心電図、血液検査などを丁寧に行うことで患者さんの状態を確認します。さらに詳細に検査をした方がよいと判断された場合には、加えて心エコー検査を行います。さらに精密検査が必要な場合には、入院して頂き肺の血圧を測定するためにカテーテル(医療用の柔らかい管)を足や首の静脈から心臓まで挿入して検査を行う必要があります(心臓カテーテル検査)。そのほかに必要に応じて、CT、MRI、核医学的検査(換気血流シンチグラフィー)、運動負荷検査などを行います。
近年では肺高血圧症に対する治療が進歩しているため、患者さんに過度な負担をかけない範囲で検査を行い、患者さんの状態を見極めながら、よりベストな治療方法を提案します。
肺高血圧症の診断で重要となるのは心エコーであると思います。肺高血圧症に関連する症状があり、かつ詳しい診察、レントゲン検査、心電図、血液検査、そして心エコー検査を実施すれば、少なくとも重症の肺高血圧症を見逃すことはないでしょう。
そうしたことを考えると、肺高血圧症を疑った場合の受診先は、循環器内科がよいとも考えられます。循環器内科で心エコーを行うことで「肺高血圧症ではないと考えられる」という診断結果を得ることができるからです。
しかし、息切れや動悸などの自覚症状から患者さんご自身が肺高血圧症を疑い、循環器内科を受診するというのはなかなかハードルが高いことだと思います。息切れや動悸などの自覚症状は他の呼吸器疾患(喘息など)でも見られます。そうした呼吸器疾患の場合には呼吸器科を受診する方が適切です。また、膠原病、呼吸器疾患さらには消化器・血液疾患を基礎疾患として肺高血圧症を発症することも決して稀ではありません。肺高血圧症は内科領域にとどまらず様々な疾患に関わる疾患といえます。
ご自身が肺高血圧症であるか気づいて、自ら医療機関を受診することは非常に難しいと思いますが、肺高血圧症の発症に関わる危険因子はいくつか報告されています。下記のような危険因子を持つ方で、肺高血圧症の自覚症状を持つ方は、一度医療機関を受診し、相談してみるとよいと考えられます。
【肺高血圧症の危険因子】
・膠原病
・COPD など
近年、治療方法の進歩に伴い、肺高血圧症の患者さんの予後はより改善されています。そのため肺高血圧症は、いかに早期診断・早期治療するのかというのが重要な病気です。症状の改善が見込める時代になったからこそ、病気に気付けるかどうか、適切な治療を早く始められるかどうかが大切です。
肺高血圧症は患者数も少なく、疾患に関する研究データも少ないことから、肺高血圧症を専門に診療できる医師は少ないという現状があります。そのため肺高血圧症の可能性がある、または肺高血圧症の治療が必要である方は、可能であれば地域で肺高血圧症を専門に診療している医療機関や医師をみつけ、より適切な治療を進められるようにすることが重要になると思います。
引き続き記事2では辻野先生に肺高血圧症の分類と治療について解説いただきます。
様々な学会と連携し、日々の診療・研究に役立つ医師向けウェビナーを定期配信しています。
情報アップデートの場としてぜひご視聴ください。
関連の医療相談が12件あります
肺高血圧症 最大肺動脈圧
入院して5日目 BNP300近くありCTで肺血栓あり入院しました。 今だカテーテルできずBNP下がって安心していますが、自分としては肺血管拡張薬早くはじめてほしいといいました。末梢型 中枢にもあったように思います 手術は適応なくバルーン考えているようです とにかく肺血管拡張薬始めたいと言っているのに、右心カテーテルやってからだと言われて凝固障害あるし心配です。右心カテーテルやらずに肺血管拡張薬不可能なんですか?薬適応ないわけではないと言われています。
子宮筋腫から来る症状について
お世話になります。五年ほど子宮筋腫の経過観察中でしたが、現在一番大きいものが10センチほか6センチが二つ、小さいものもあるようです。 MRIは2月に撮っています。その時はまだ症状が経血もそこまで多くなく貧血もないので、そのまま経過観察をしていましたが、このところ寝起き尿が出にくい、お腹が張る、頻尿、右腰骨右脚がだるい、があり本日病院に行って来ました。内診では卵巣は炎症なし膀胱炎でもない、貧血は大丈夫で、膀胱は圧迫されて変形している。 症状が強くあるなら手術した方が良い。と言われ手術することを決断したのですが、心配なのは右脚の違和感です。腫れてるとか色が違うとかはないのですが、巨大な子宮筋腫が血栓を作る、とから肺に飛んだなどの記事を見つけて 怖くてたまりません。どう気をつければよいのでしょうか、どうなったら深部栓症なのでしょうか。なんとなく最近息苦しくなったりして怖いです。また、どの科に行けばよいのでしょうか。本日婦人科の主治医に話したのですが脚についてはスルーされてしまいました。 話がうまくまとまらずすみません、よろしくお願いします。
味覚障害について
昨年2月に扁桃腺摘出手術を受けて以来、味覚障害が続いています。具体的には塩味がほとんど感じられません。手術を受けた病院でも原因がわかりませんでした。本格的に治療したいと思っていますが何かいい治療方法や治療方針、おすすめの病院などはありますでしょうか?ちなみに亜鉛は2ヶ月程毎日サプリを飲んでます。また糖尿病・高血圧とIgA腎症の治療で服薬しております。
高血圧の治療法について教えてください
先月と今月に別件で病院を受診した際に、どちらも血圧が高った(先月168、今月191)ため、以下の検査を受けました。 ・24時間血圧計・心電図・血液検査・心臓エコー 24時間血圧計の結果は平均値:日中が150/96 就寝時:136/85 心電図では左心室肥大 血液検査では善玉、悪玉、総合コレステロール値の全てがが基準値より僅かに超える結果となり、高血圧という診断で、降圧剤COZAARを処方されました。 私は会社の健診を毎年受診しており、昨年までは血圧は上が110台、下は60代台かつ血液検査の総コレステロール値は基準値を下回っていました。 直近数ヶ月でひどく頭痛がしたり、めまい、息切れなどの自覚があり、更年期障害の可能性もあると考えております。 ここで質問なのですが、更年期障害による高血圧なのであれば、降圧剤を飲むより先に婦人科を受診してホルモン療法を試した方が良いのでしょうか?それとも、かなり血圧が上昇しているので、まずは降圧剤を飲んで血圧を下げた方が良いのでしょうか? ネットで調べたところ、降圧剤は一度飲み始めたら一生やめることができないと書かれていたので、気軽に飲み始めて良いものかどうか躊躇しております。ご意見をお聞かせいただけますと幸いです。 どうぞよろしくお願いいたします。
※医療相談は、月額432円(消費税込)で提供しております。有料会員登録で月に何度でも相談可能です。
「肺高血圧症」を登録すると、新着の情報をお知らせします