
パーキンソン病は、無動症状や振戦(手足などの震え)、筋強剛をおもな症状とする神経変性疾患です。近年では、パーキンソン病の原因や治療についてどのような研究が進められているのでしょうか。大阪大学大学院医学系研究科神経内科学の望月秀樹先生にお話を伺いました。
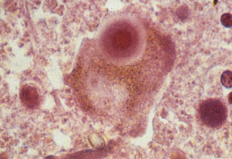
1997年に遺伝性パーキンソン病の患者さんの原因がαシヌクレインという遺伝子異常で病気になることが報告された。さらに、遺伝性ではないパーキンソン病の患者さんを調べると、残存した神経細胞にあるレビー小体という封入体にαシヌクレインというタンパクが蓄積していたため、αシヌクレインとパーキンソン病のかかわりの研究が進みました。
αシヌクレインとは、アミノ酸140残基からなる神経細胞内にあるタンパク質です。神経細胞内のタンパク質は、シナプス小胞(神経伝達物質を含む細胞膜で包まれた小球)を放出する機能を持ち、細胞の維持に必要です。このような働きを持つαシヌクレインの遺伝子に変異(異常)がある、もしくは正常なαシヌクレインが異常に増殖した場合、パーキンソン病の原因になることがわかっています。

その一方で、遺伝性のパーキンソン病の原因となるαシヌクレインの異常にはさまざまなパターンがあることが判明しました。
1つめは、αシヌクレインそのものの変異で、遺伝性パーキンソン病(PARK1)の原因になるといわれています。2つめは、正常なαシヌクレインの異常な増加を呈する遺伝性パーキンソン病(PARK4)です。あらゆるタンパクは、遺伝子の配列からメッセンジャーRNA(DNAの情報を伝達するためのRNA)によってつくられます。ところが、遺伝子配列の異常により、正常なαシヌクレインが2〜3つ並び、タンパクの量が1.5〜2倍になっていることがあり、遺伝性パーキンソン病(PARK4)の原因となることがわかっています。
神経変性疾患(脳や脊髄にある神経細胞のうち、ある特定の神経細胞群が徐々に障害を受けて脱落する)の原因となるさまざまなタンパクは、徐々に解明されつつあります。たとえば、タウタンパクはアルツハイマー病や進行性核上性麻痺に、TDP-43タンパクはピック病(前頭側頭型認知症)や筋萎縮性側索硬化症(ALS)に、αシヌクレインはレビー小体型認知症や多系統萎縮症にかかわることがわかっています。これらのタンパクは通常有用なタンパクですが、脳神経細胞内に異常に蓄積した場合に神経細胞にダメージを与える物質となります。
あらゆるタンパクは、結晶化して構造を解析することができます。しかし、αシヌクレインは結晶化することができないため、その構造をはっきりとみることが困難でした。そこで私たちは、SPring-8(スプリング・エイト:世界最高性能の放射光を生み出すことができる大型放射光施設)の八木直人先生と共同研究を行い、人の脳内の代わりに、水中でαシヌクレインの構造解析を行う方法を試みています。
αシヌクレインの蓄積を抑えるには、αシヌクレインの発現にかかわるメッセンジャーRNAを減らすことが必要です。そこで私たちは、薬学部と協力してαシヌクレインに対する核酸医薬(DNAやRNAの構成成分である核酸からなる薬)を開発しました。この研究・開発が進めば、αシヌクレインタンパクを選択的に減らすことが可能になり、遺伝性のパーキンソン病の治療に有用となることが期待されます。

αシヌクレインは人の赤血球にもっとも多く含まれていることから、パーキンソン病の患者さんの赤血球を調べましたが、大きな違いはみつかっていません。次に、髄液に含まれるαシヌクレインを調べる方法を研究・開発しています。髄液に含まれる微量のαシヌクレインを検出できるようになれば、パーキンソン病の早期診断や治療に役立つことが期待されます。
パーキンソン病に対する薬物療法では、以下のような薬を症状の進行度、副作用、患者さんのニーズに応じて使いわけます。
パーキンソン病の治療薬は、本来体内にあるドーパミンを補う作用を持つものが多いため、一定量を守ればそこまで大きな副作用は出ないとされています。
パーキンソン病の治療薬は、食事のバランスと同じように、最初からどれか1つだけを大量に使うと体によい影響がありません。そこで、多くのケースでは患者さんと相談しながら、そのニーズに応えられるように、バランスよく治療薬を選択します。

まず、心配なことがあれば主治医に相談をしてください。納得してから治療することが重要です。また、先にお話ししたように、パーキンソン病の治療で用いる薬は症状の進行度や患者さんのニーズによって変わります。つまり、患者さんそれぞれに合わせてオーダーメイド的に治療薬を選択しているのです。そのことをぜひ知っていただきたいと考えます。
また、「パーキンソン病が治る」と過大広告をうたった健康食品やお守りのような物を信じ、自己判断で薬の服用を中止することもおすすめできません。それらはある程度効果の保証されている薬剤と異なり、何ら信用できるエビデンス(科学的根拠)がないことがほとんどです。自己判断で治療をやめる前に、ぜひ主治医に相談をしてみてください。
本態性振戦(姿勢をとるときに震えが起こる)の患者さんに対して、超音波で行う治療法が新たに実用化されています。超音波を一箇所に集めて温度を上昇させ、本態性振戦の原因だけにターゲットを絞って治療できます。この治療法は焦点をおよそ0.5mmずつ動かすことができ、非常に細かい手術が可能です。超音波による手術は開頭の必要がなく、患者さんの肉体的・精神的な負担を大幅に軽減できることがメリットの1つです。
パーキンソン病の症状の1つである震えは静止時振戦(安静にしているときに震えが起こる)であり、本態性振戦とは異なります。しかし、超音波の手術がパーキンソン病や脳腫瘍の治療にも応用できるのではないかという考えに基づき、研究が進められています。
超音波を用いることで、脳のある部分に選択的に薬の治療効果を働かせることが可能になるといわれています。開頭手術は患者さんの負担が大きいため、侵襲の少ない超音波を用いた手術に期待が集まっています。

パーキンソン病の患者さんは現在、きちんと治療すれば日常生活に支障なく暮らし、寿命を全うできるケースも多くなっています。もちろん症状が進行した場合には、通常の生活を送ることが困難なケースもありますが、可能な限りは仕事を続けることが大切であると考えます。なぜなら、仕事に行くことはドーパミンの分泌に直結すると考えています。日々仕事に出かける状況であれば、コンスタントにドーパミンが出て、パーキンソン病の患者さんにとって非常によいリハビリになるのです。
ドーパミンは、ワクワク・ウキウキという「楽しさ」の感情に通じていますから、パーキンソン病の患者さんには、そのような感情をできる限り持ってほしいと考えます。
手の震えが恥ずかしいので友人に会わない、外出を避けるようになった、といったようにパーキンソン病を理由に消極的になるのは理想的ではありません。パーキンソン病になったからこそ、自分が好きなことを続けて、とにかく「楽しい」と思える時間を増やしてほしいと考えています。
様々な学会と連携し、日々の診療・研究に役立つ医師向けウェビナーを定期配信しています。
情報アップデートの場としてぜひご視聴ください。
関連の医療相談が31件あります
パーキンソン病の振戦
パーキンソン病の振戦は安静時にはずっと震えているものなのですか?? それとも震えのない日や時間帯によっては震えが止まっている時もあるのでしょうか?? よろしくお願いします。
脇の下のリンパの痛み
おとといから右脇の下のリンパあたりが痛みます。腫れもしこりもありません 6年前にパーキンソン病と診断され通院中ですが、その辺りから良く首や両脇のリンパは時折痛みを感じていました。 担当の神経内科医は 『パーキンソン病特有の症状によりリンパの流れを悪くし痛みが出る』 気にしだすとますます痛みを感じるので気にしない…とのことでした。 考えてみればその通り…のような気もしますがこの2日間の痛みは今まで以上でした。 (痛くてずっとさすっていたので尚更だったのか?) 今朝は痛みがありません また気にして触ったりすると痛むかも?と思いやめています パーキンソン病の症状(現在 薬服用のおかげで日常生活は自立していますが 筋固縮、身体の可動率の悪さ、便秘、自律神経系からくる立ちくらみなどのいろいろな症状の1つとして考え、やはり 『気にしないこと』が最良なのでしょうか? 怖いのは『そう思っていたら別の病が隠れ ていた』ということで 腫れやしこりがない状態でも、何か他の病気の可能性もあるのでしょうか? よろしくお願い致します
パーキンソン病
祖父と父が60代でパーキンソン病になりました。優性遺伝でのパーキンソン病になると思うのですが原因遺伝子の浸透率は高いのでしょうか?
かかりつけの病院で
かかりつけの病院で、 薬を処方されてますが、 毎回、何を飲んでも薬は効かない、 よくはならないけどねと、 毎回、言われますが、 全く知識もなく、わからない私は、 父親になんと言えばいいですか?
※医療相談は、月額432円(消費税込)で提供しております。有料会員登録で月に何度でも相談可能です。
「パーキンソン病」を登録すると、新着の情報をお知らせします