
白内障は、水晶体という眼の中の組織が白く濁ってしまうことにより視力が低下する病気です。白内障とはー原因・症状・治療法を専門医が解説はほとんどが加齢によるものであり、70代の方では80%以上が白内障を発症しているといいます。治療法が確立されているものの、白内障の診断には網羅的な検査が必要であり、他の疾患との区別が必要です。今回は様々な画像と写真を参考に、白内障の病態や症状、見え方の一例までを山王病院アイセンター センター長の清水公也先生にお話しいただきました。
眼球は、目の表面を覆う角膜やレンズの役割を果たす水晶体、外から入ってきた光を電気信号に変えて脳に伝える網膜、電気信号を伝達する視神経などから成り立ちます。
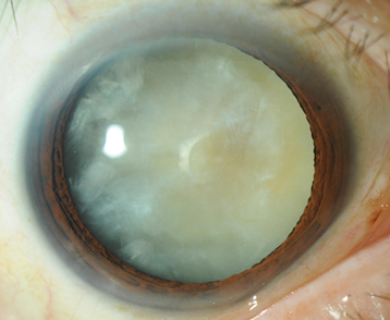
白内障とは、このうち水晶体の部分が白濁し、視力低下をきたす病気です。
白内障とはー原因・症状・治療法を専門医が解説は9割以上が加齢です。日本において、白内障は60代で60%以上、70代では80%以上の方が罹患していると考えられており、年齢とともに誰でもなり得る病気といえます。
前述のように、白内障のうち約90%は老化現象による蛋白質の変化が原因ですが、残りの10%には以下のような原因が挙げられます。
<白内障を発症する可能性がある要因>
・抗がん剤の副作用
・レントゲンなどの放射線を大量に浴びた場合
・先天的な要因(風疹症候群など)
・殴打などの外傷
・糖尿病の影響(40代~50代の方に多い)
・アトピーなどがありステロイドの使用によるもの(30代前後の方に多い)
とはいえ、これらの原因によって白内障を発症する可能性は低く、ほとんどは上述した加齢によるものだと考えていただいて差し支えありません。
人の加齢はゆっくりと起こるものですから、白内障も突然発症したり急激に進行したりする病気ではありません。
水晶体の加齢自体は10代後半から始まります。少しずつゆっくりと物を見る力が弱くなっていき、一般的に30代を過ぎたころにははっきりと「老眼」として自覚症状が現れはじめます(ここでいう老眼とは、水晶体が硬くなり、かつ弾力性がなくなってピント調整が困難になることを指します)。
さらに加齢が進行するとやがてレンズ自体がひずみを生じてしまい、乱視や遠視といった屈折の異常を発症します。40代以降になってから眼鏡(老眼鏡)を頻繁に替える方が多いのはこのためです。
ただし、屈折異常の時点でははっきりと物が見える状態ですから白内障ではありません。さらに症状が進行して水晶体が益々硬くなり、最終的に白濁した状態になると「白内障」という病気として診断されます。
このように考えると、白内障は加齢現象の最終到達点であるということができます。
白内障発症時の目の見え方は、患者さんの水晶体の濁り方によって異なります。
白内障には水晶体全体が濁って視界全体がぼやけてしまうタイプと、水晶体の中心のみが濁って視界の中心のみ見えなくなるタイプがあります。水晶体の中心が濁るタイプであれば、多くの場合は屈折異常が起こり、近くのものばかりが見えるようになります(近視化)。また、単眼性の複視(片目で対象物を見ているときでも対象物が二重に見える)が起こったり、羞明(しゅうめい:瞳が縮小し、明るい場所で眩しさを感じやすくなった状態)が生じたりする場合があります。
なお、上記は一例であり、白内障の状態によって見え方は様々です。一概に見え方を述べることは難しく、白内障のパターンによって異なるといえます。
白内障の症状の特徴として重要なのは、「眼鏡をかけても視力矯正ができない」という点です。近視や遠視などの単純な屈折異常は眼鏡で矯正できるため、この点において両者は異なります。
白内障のもう一つの特徴は、緩やかな進行速度による視力低下の自覚の遅れです。若い方が白内障を発症した場合は数か月単位で視力低下症状が進行しますが、高齢の方の場合は数年単位で徐々に見え方が変化するため見えにくさに慣れが生じてしまい、ご自身で視力低下を自覚することが難しくなります。
白内障の検査における最近の重大な問題としては、運転免許取得時に実施する視力検査などで、動体視力の計測が十分になされていないことが挙げられます。
通常、視力検査時は座位(あるいは立位)で行い、その場から静止している対象を注視します。しかし、静止時の視力と動体視力は一致しない場合があります。
例えば白内障の方は、視力検査で1.0と診断された場合でも、自動車を運転するときなどに必要とされる動体視力は急激に低下していることがあるのです。ですから、視力1.0と診断された高齢の方が自動車を運転しているとき、視力は1.0でも動いている物体ははっきりと見えていない(動体視力が悪い)可能性があるということになります。
こうした現状は事故にもつながる危険性がありますから、免許取得の際に行われる視力検査の方法を改善する必要があるでしょう。
白内障の検査では、他疾患の除外(近視や遠視、乱視など屈折の異常によって見えづらくなっているのではないか、他の眼疾患は合併していないか)を確認する必要があります。
白内障診断のために行われる検査は以下のとおりです。
・基本的な視力検査
・屈折検査
・眼圧検査
・眼底検査(散瞳)
・細隙灯顕微鏡検査
・角膜内皮細胞検査
・網膜電図検査(稀に)
・色覚検査
白内障を診断する際注意すべきなのは、他の疾患との混同です。
白内障は加齢に伴って起こる一般的な病気といえます。ですから、実際には他の病気が原因で目が見えづらくなっている場合でも「白内障だろう」と思ってしまい、誤解されたまま手術を受ける方がいらっしゃいます。結果的に患者さんの期待に添わない治療が提供されることになってしまうのです。
一般的に肺炎の初期症状が風邪症状と誤解されるのと同じように、白内障では白内障という「マスク」が他の疾患の可能性を覆ってしまう場合があります。このため、白内障と診断されても、その症状は本当に白内障だけによるものなのかということを考える必要があるでしょう。緑内障などの進行性疾患は回復することのない病気ですが、白内障は視力回復が見込める疾患であり、誤解されたままだと治療が遅れてしまう可能性があります。だからこそ、絶対的な病気がないか調べることが大事です。
白内障の予防薬として、日本ではピレノキシンという点眼液が認可されています。しかし、これは日本独自で認可された薬であり、世界的な観点からみると白内障の予防薬は存在しません。
繰り返しになりますが、白内障は加齢現象の一種といえます。加齢を食い止める薬が無いのと同様、白内障を予防する薬もないのが現状です。
とはいえ、点眼液をご希望される患者さんの意思を否定することはありません。私は患者さんに対してしばしば「白内障に対する根治治療薬はありません。予防薬は、ご自身の心を安心させるために使うことをお勧めします」とお話ししています。
白内障の治療では手術が効果的です。では、症状の進行が緩やかである白内障の場合、手術はいつ行われるのでしょうか。
手術のタイミングは、他の疾患を併発しない限り、9割の方が「ご自身の生活に不自由を感じたとき」です。生活に不自由を感じるかどうかは、個人の職業によって異なります。例えば、トラック運転手の方の場合は業務上視力1.0を切ったあたりが手術の目安と考えますし、パイロットの方であればさらに集中して物を見る能力が求められるため、1.2程度の視力があっても手術する必要があります。一方、普段ご自宅で安静に過ごされている方であれば、視力が0.3以下であっても生活に不自由を感じていない限り手術は行わないかもしれません。
一方、残り1割では医師の判断のもとで手術が決定されます。具体的には、白内障にぶどう膜炎や緑内障を併発している場合や糖尿病で眼底治療が必要な場合、その他の病気を伴う場合などが挙げられます。これらの状況下では、患者さんが自覚される生活の不自由さに限らず、医師が手術の時期を決定します。
山王病院アイセンター センター長、国際医療福祉大学 教授
清水 公也 先生の所属医療機関
様々な学会と連携し、日々の診療・研究に役立つ医師向けウェビナーを定期配信しています。
情報アップデートの場としてぜひご視聴ください。
関連の医療相談が25件あります
白内障手術後
11月に強度近視からくる白内障手術を受け虹彩偏位になったがかかりつけ医に戻された。かかりつけ医はすぐに再手術しないととれにくくなると言われ白内障手術をした病院で再手術を12月に行った。虹彩整復・瞳孔形成術をしてから日数は経っていないが、夜ふとした時やサイドミラーから後ろの車のベッドライトや対向車のライトや街灯などから光の線が視えるようになった。車のフロントガラスが割れているような感じです。右目で、右から左へ効果線のようなものが1つの光に対して20〜30本前後全てがキラキラと光り、虹色が混じっている。白内障手術後に眼鏡を作ったが度があっていないからであろうと言われた。眼鏡を作りかえても裸眼でも視える。診察まで2週間あるが、だんだんと視えるのが酷くなってきた。眼内レンズもズレていないから大丈夫と言われていたが本当に大丈夫か心配。
白内障の手術について
見えにくさから検査を受けましたら白内障と診断されました。いずれは手術になるかと思いますが先進医療での手術と今までの手術はどう違うのかよくわかりません。 先進医療対応の眼科を選べば良いですか?
レンズの入れ替えは、しないほうがいいでしょうか?
右目を5月15日、左目は、5月22日に手術をしました。手術した直後は、右目1.2が、今、0.4です。両目で、0.9です。手元は、老眼鏡を使用しています。中には、手術時、どうしても微妙にレンズがずれることが、あるとのことで、メガネで調整するしかないそうです。レンズを入れ替えすることは、出来ないでしょうか?執刀して頂いた先生は、リスクがあることや、大学病院でないと出来ないと、言われました。
眼内レンズについて
白内障の手術にあたり、眼内レンズを多焦点にするか単焦点にするか悩んでおります。 費用的な問題ではなく、どちらにするか悩んでいます。 現状は、左右とも強い近視で、矯正しないと全く見えません。 仕事は、事務系でほぼパソコンを使います。 通勤に片道40分車の運転があります。
※医療相談は、月額432円(消費税込)で提供しております。有料会員登録で月に何度でも相談可能です。
「白内障」を登録すると、新着の情報をお知らせします
「受診について相談する」とは?
まずはメディカルノートよりお客様にご連絡します。
現時点での診断・治療状況についてヒアリングし、ご希望の医師/病院の受診が可能かご回答いたします。