
心臓の弁に障害が起こる心臓弁膜症は、大きく大動脈弁狭窄症と僧帽弁閉鎖不全症に分けられます。心臓弁膜症の種類により、手術方法も変わります。心臓弁膜症の手術方法として知られる弁置換術や弁形成術の違いやそれぞれの手術時間、退院までの注意点について、心臓外科手術の世界的権威として知られるニューハートワタナベ国際病院総長の渡邊剛先生にご解説いただきました。
当院の心臓弁膜症の検査項目には、問診、レントゲン、心電図、心エコー検査、血液検査などがあります。これらの検査により心臓弁膜症の重症度などを診断し、手術適応となるかどうかを見極めます。
私たち心臓外科医が、手術を行うかどうかを決めるにあたり重視している指標のひとつに「症状の有無」があります。症状の程度を評価するため、問診時には患者さんの話をもとに、NYHA(エヌワイエイチエー)心機能分類という指標を用いて重症度を4段階評価しています。
Ⅰ度
悪くない
Ⅱ度
少し悪い
Ⅲ度
中程度に悪い
Ⅳ度
非常に悪い
ただし、NYHA心機能分類はあくまで診断の補助という位置付けに過ぎません。Ⅱ度~Ⅲ度の患者さんの多くは待機手術となりますが、この評価は絶対的なものではありません。症状の有無は、手術を考慮するきっかけと捉えていただくのがよいでしょう。
血液検査は、肝機能や腎機能など、全身状態を把握するために行います。
ただし、BNP(脳性ナトリウム利尿ペプチド)という心臓への負担の程度を表す数値は、心臓弁膜症の治療方針を決定するための重要な指標となります。
BNPの正常値は18pg/mLであり、血液検査の結果この値が100pg/mLを超えているとわかった場合は手術を考慮します。
ただし、自覚症状の訴えやBNP値のみで治療方針を決定することはできません。手術適応となるか否かを決める重要な検査は、レントゲン検査、心電図、心エコー検査の3つです。
心電図では心房細動(高齢者に多い不整脈)の有無をみます。僧帽弁閉鎖不全症の場合、相当量の逆流があり心房細動があれば基本的には手術適応となります。また、僧帽弁閉鎖不全症の心エコー検査では、血液の逆流率を調べます。当院では逆流率45%以上を手術適応のめやすとしています。
大動脈弁狭窄症の場合は、心エコー検査で血液の通り道である弁口面積(べんこうめんせき)を計測し、1.0平方cm以下の場合は手術適応のめやすとなります。

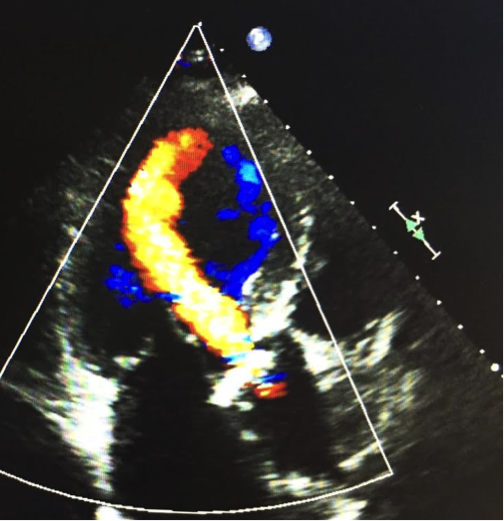
これは僧帽弁閉鎖不全症の患者さんの心臓です。左心室から左心房へと血液が逆流していることがわかります。
(提供:ニューハートワタナベ国際病院)

こちらは大動脈弁狭窄症と僧帽弁閉鎖不全症を合併している患者さんの心臓です。この画像からは、大動脈から左心室へと血液が逆流していることがわかります。
(提供:ニューハートワタナベ国際病院)
心臓弁膜症の治療には、手術だけでなく薬剤を用いた内科的治療もあります。内科的治療を行うかどうかを決める際には、心臓弁膜症の種類をみることが大切です。
内科的治療は、基本的に僧帽弁閉鎖不全症による心不全の治療を目的として行います。最も使用頻度の高い薬剤は、体内にたまった水分を排出する利尿剤です。
一方、軽症の大動脈弁狭窄症は薬を使用せずに経過観察を行い、手術が必要になった場合にはじめて治療介入します。というのも、大動脈弁狭窄症に対し利尿剤や血管拡張剤を用いると、心臓から十分な血液が送りだされなくなり、ショックを起こす危険があるからです。
このような理由から、手術適応とならない大動脈弁狭窄症の患者さんには、重症度や病気の進行速度に応じて、定期的に検診(心エコー検査)を受けていただいています。
心臓弁膜症の手術には、弁置換術と弁形成術の2種類があります。弁置換術は、その名の通り自己の弁を取り除き、人工の弁に置き換える手術です。弁置換術の対象となる疾患は大動脈弁狭窄症です。
弁形成術とは自己の弁を修復する手術であり、弁を取り除く弁置換術とは異なります。弁形成術は僧帽弁閉鎖不全症に対して行われます。
人工弁には、(1)人工の素材から作られた機械弁と、(2)ブタやウシの組織を利用した生体弁があります。また、近年では大動脈弁形成術と呼ばれる自己の心膜を利用した新規治療も注目を集めています。
当院では、基本的に65歳以下の患者さんには機械弁を、70歳以上の患者さんには生体弁を用いています。この中間に位置する65~70歳の患者さんには、それぞれのメリットとデメリットをお話ししたうえでご希望を伺っています。
機械弁は耐久性に優れており、壊れることはほぼないため、生体弁のように弁を取り替える手術を行う必要はありません。そのため、術後人工弁をつけた状態で何十年と生きていかれる若い患者さんにとってはメリットが多いといえます。
機械弁のデメリットは、蝶番(ちょうつがい)になっているカーボンの部分に血栓が付着する危険があることです。血栓がついてしまうと、機械弁は正常に動かなくなってしまいます。このような事態を防ぐため、術後は生涯にわたりワルファリンカリウムなどの抗凝固剤を飲まなければなりません。
生体弁のメリットは、術後ワルファリンカリウムを飲み続ける必要がないことです。そのため、若い方でも妊婦さんや妊娠希望の女性、日本のような医療が受けられない発展途上国などに赴任される方などから、生体弁による弁置換術を希望されることが多々あります。
ただし、生体弁は約20年で壊れてしまうというデメリットがあります。若い方の場合、心臓がより活発に動いているため、生体弁の消耗スピードも速くなり、最初の弁置換術から約10年で再手術を行う必要が生じます。
近年になり、 大動脈弁形成術と呼ばれる術式が開発されました。 大動脈弁形成術では、自己の心膜を使って新たな弁を形成するため、機械弁のようにワルファリンカリウムを飲む必要はありません。現在の治療成績は生体弁と同程度となっています。
大動脈弁形成術は新しい治療であり、生体弁との耐久性を比較することは現時点ではできません。今後、大動脈弁形成術の長期成績が明らかになり、生体弁のデメリットを克服することがわかれば、この手術は全国に普及することでしょう。
現在、大動脈弁形成術を行える施設は限られており、当院の患者さんの多くは、「自分の組織を使いたい」と自ら治療を調べて来院されています。
※大動脈弁形成術は後述する僧帽弁閉鎖不全症の弁形成術とは意味合いが異なるものです。
当院では、大動脈弁狭窄症の手術の半数を小切開で行っています。合併症がない大動脈弁狭窄症であれば、手術時間はトータルで2時間10分前後となっています。このうち、心臓を停めている時間は40分~60分と短時間ですので、術後心不全なども全くありません。
骨に切開を加える肋骨開胸の傷は約18cmであるのに対し、小切開は約7cmで済むため、痛みや出血量は大きく軽減されます。
大動脈弁狭窄症の手術を小切開で行うことのできる施設は他にないため、この治療を求めて受診される患者さんも非常に多く見受けられます。
自己の弁を温存し、修復する弁形成術は、リウマチ性僧帽弁閉鎖不全症を除き、ほぼすべての僧帽弁閉鎖不全症に対して行われています。
以下のイラストは、弁のうち分厚くなった部分を切除して縫い合わせ、人工弁輪で補強するという弁形成術です。このような術式は30年以上前から用いられており、僧帽弁閉鎖不全症に対する定番の手術法ということもできます。
ただし、上記の手術には、縫合箇所が固くなってしまう、あるいは組織同士が段違いに重なり合ってしまうといった問題点もあります。ダヴィンチ手術の導入により、このように細かな問題点がみえるようになったことで、人工腱索、Gore-TEX糸を用いた新たな治療が生まれました。

僧帽弁は大動脈弁と違い約30本の腱索に支えられています。イラストのようにGore-TEX糸で弁を張り直せば、もともと残っていた患者さんの自己弁を手術で切除したり、縫合を加えたりすることなく、閉鎖不全を治すことができます。
成績も非常によいため、2017年現在当院では僧帽弁閉鎖不全症の手術をすべてこの術式で行っています。Gore-TEX糸を用いた弁形成術は、ダヴィンチ手術の副産物といえるのかもしれません。
当院では僧帽弁閉鎖不全症の手術は、ダヴィンチ手術を希望される患者さんを除き、全例小切開で行っています。手術時間はトータルで2時間20分ほどです。傷の大きさは約7cmです。
小切開よりもさらに低侵襲で細やかな治療を行えるダヴィンチ手術には、保険適用外であり患者さんの金銭的負担が増えるといった難点があります。
しかし、デメリットの少ない小切開にも、術後左右の胸の位置に差が出る可能性があるといった整容面での問題などが生じます。
当院は、日本で唯一ダヴィンチによる心臓手術を行っている施設であり、僧帽弁閉鎖不全症の患者さんにとって、2つ以上選択肢があるということは大きなメリットとなっていると実感しています。

手術から退院までの期間は、早ければ早いほどよいというわけではありません。大動脈弁狭窄症の手術後は、運動などのリハビリを行い1週間程度で退院となりますが、僧帽弁閉鎖不全症の手術後にはリハビリを積極的に行わず、十分に体を休めることが重要です。
僧帽弁閉鎖不全症とは、弁の故障により血液が肺へと逆流してしまう病気です。つまり、心臓の筋肉は「最大限の効率で血液を全身へと供給する」という本来の仕事を、長期に渡り全力では行っていなかったというわけです。そのため、手術により血液の逆流が治ると心臓の筋肉にかかる負担が増え、一時的に心機能が低下してしまうのです。
心臓弁膜症とは長い歳月をかけて完成する病気であり、長年病気を得ていた患者さんの心臓が本来かかるべき負荷に慣れるのには、2か月ほどかかります。
したがって、手術直後はリハビリなどを行わず、安静に過ごすことが最重要になります。当院では、手術の傷は治っていても帰宅後に問題が起こらないよう、一般的には10日程度、高齢の患者さんの場合は15日程度入院していただいています。
前項でも述べたように、ニューハートワタナベ国際病院は、ダヴィンチ心臓手術を営業ベースで行っている国内唯一の施設です。
またダ・ヴィンチ手術に限らず、ここまでにご紹介してきたすべての治療は患者さん一人ひとりのご希望やライフスタイル、身体状況に応じたハイエンド治療を提示できるという点が当院の強みといえるでしょう。
欧米では当たり前の手術成績の公開は、日本ではまだまだ一般的ではありません。しかし患者さんにより多くの選択肢を与えるためにも、当院は積極的に成績を公開しています。
ニューハートワタナベ国際病院のHPはこちら:https://newheart.jp/
また、セカンドオピニオンにも力を注いでいるため、ご自身の病気や治療方針に関して不安や疑問を抱えていらっしゃる方は、お一人で悩まずご相談ください。
治療成績や症例数を常に公開し続け、セカンドオピニオンの普及に努めている理由は、大きく2つあります。ひとつは不信感を抱きながら心臓の手術に臨もうとされる患者さんを心身共に救いたいからであり、もうひとつは、成績の悪い手術で手術をうけて亡くなる方を一人でも少なくしたいという思いがあるからです。
日本には、現在もセカンドオピニオンに対して寛容ではない医師が一定数存在します。また、医師の説明不足や人間対人間としてのコミュニケーション不足も問題視されています。
医師にとって自分の受け持つ患者さんとは常に複数名いるものですが、患者さんご自身の心臓や体はこの世にたったひとつしかありません。だからこそ、患者さんが主治医に不必要に遠慮をしてしまうことなく、不安を解消できる場や空気を作ることが必要です。一人でも多くの患者さんが、納得の行く医療を受けられる世のなかを構築したいという思いこそが、セカンドオピニオンを徹底し始めたきっかけです。

また、治療成績や症例数を公開し続ける姿勢を貫くことは、日本の本来不要な医療費高騰問題を是正することにもつながると確信しています。
術中のトラブルや術後合併症の多い病院は、情報の公開を厭う傾向があります。しかも、トラブルや合併症が多く、多くの輸血や重症管理をすることでその病院は多大な収入を得ます。このような状況を見過ごしていれば、日本の医療費は患者さんのためにならない医療によって圧迫され続けてしまいます。たとえば、本記事でご紹介した心臓弁膜症の手術のコストは、スムーズに行えば入院を含めて300万円ほどに収まりますが(※自己負担額は約10万円)、合併症などを起こし入院が長引くと、その額は600万や700万円にも膨れ上がります。その金額はすべて国民の税金で賄われています。
ニューヨークでは、すべての外科医の成績を登録する制度があるため、後者のような医療を行う医師や施設は自然淘汰されていきます。日本も、医療の透明性を上げていくべきときが来ているのではないでしょうか。
今後も、高度な治療と情報公開、患者さんとの信頼関係の構築を当院の信条とし、より多くの患者さんがよい医療を受ける仕組み作りに貢献していきたいと考えています。
ニューハート・ワタナベ国際病院 総長
日本外科学会 指導医・外科専門医日本胸部外科学会 指導医日本循環器学会 循環器専門医
ドイツ・ハノーファー医科大学心臓血管外科留学、金沢大学第一外科教授、東京医科大学心臓外科兼任教授、国際医療福祉大学教授などを経て、2014年にニューハート・ワタナベ国際病院総長。
心臓疾患におけるロボット手術のスペシャリスト。これまでにロボット心臓手術は850例以上、合計5000以上の手術経験を持ち、その成功率は99.5%以上と圧倒的な成功率を誇る。
渡邊剛先生のHP(http://doctorblackjack.net)
ニューハート・ワタナベ国際病院のHP(https://newheart.jp)
渡邊 剛 先生の所属医療機関
様々な学会と連携し、日々の診療・研究に役立つ医師向けウェビナーを定期配信しています。
情報アップデートの場としてぜひご視聴ください。
関連の医療相談が10件あります
喘息発作について
喘息、弁膜症を持ってる弟が、9時半過ぎ頃喘息の発作を起こしてしまい、吸入をさせ落ち着いたので眠っているのですが、呼吸が少し苦しそうで、喘鳴がかすかに聞こえます。 この際、どう対処したら良いのでしょうか?
心臓弁取り替え手術をしないといけないのか?
急いで手術をしないといつ死ぬかわからないので、早くと結論を急がれている。
ミックス手術で振動細動の手術(左心耳切除)他
はじめまして、私の病名は心臓弁膜症三芯弁逆流です、一般の手術は開胸手術だそうですが、年齢が86歳の高齢なので悩んでいます、九州医療センターでは、ミックス手術ができるそうなので、相談いたします、 体重は60k,今のところ、心臓疾患でこれとゆう、症状は、全くありません.
右耳からザッザッという拍動性の耳鳴りが半年以上続いています
今年の4月頃に右耳からザッザッという音が聞こえるようになりました。主に静かなところで聞こえます。4月に脳神経外科に行きMRIで血管に異常がないことを確認してもらい様子を見てみましょうと言われました。 それでも毎日のように耳鳴りが続くので先月耳鼻科に行き鼓膜の検査や聴力検査をしました。鼓膜は異状なし、聴力はやや悪くなっているがまだ正常範囲とのこと。ビタミンや血管の流れをよくする薬などをもらいましたが未だに良くなりません。 どうすれば改善するでしょうか。
※医療相談は、月額432円(消費税込)で提供しております。有料会員登録で月に何度でも相談可能です。
「心臓弁膜症」を登録すると、新着の情報をお知らせします